Tuberculous Meningitis
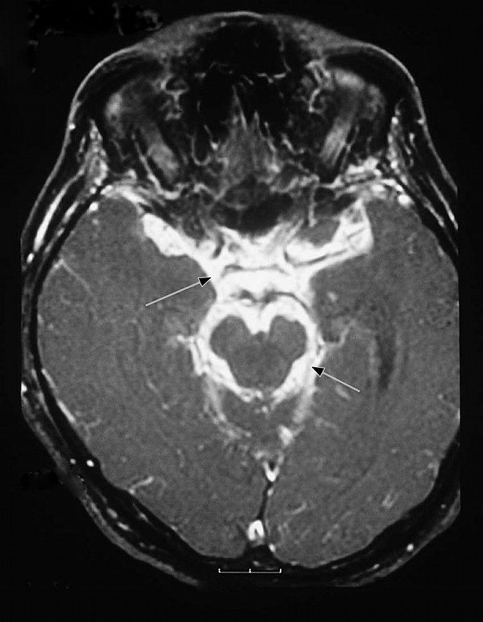
This magnetic resonance imaging (MRI) scan of a patient with tuberculous meningitis shows intense inflammatory exudate at the base of the brain (basilar meninges [arrows]) and surrounding the brain stem.
Image courtesy of John E. Greenlee, MD.
In these topics
