Cáncer metastásico de hígado
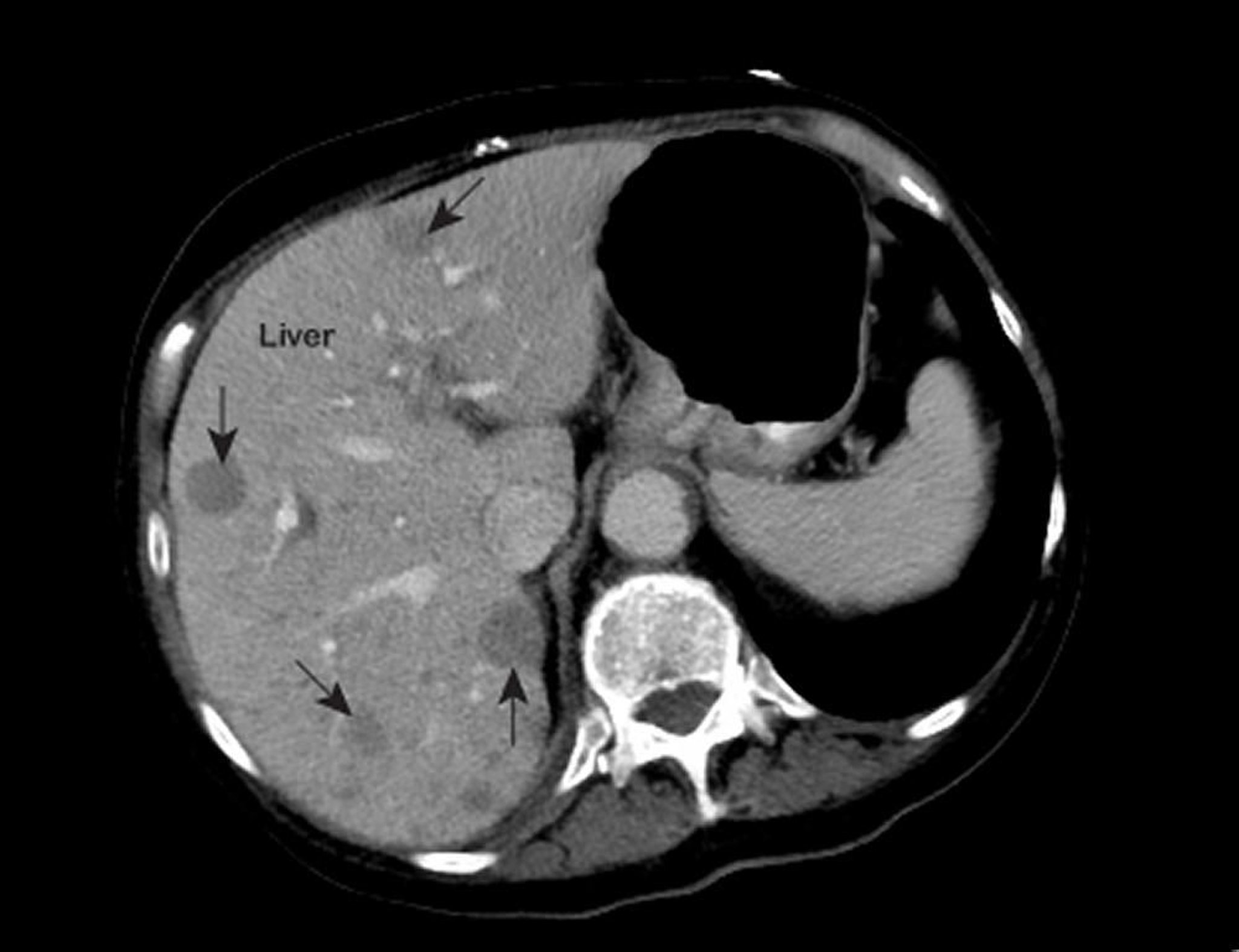
Una imagen torácica anormal obtenida mediante resonancia magnética (RMN) muestra áreas anormales (marcadas con flechas) dentro del hígado. Estos hallazgos son característicos del cáncer de hígado metastásico.
Foto cortesía de Patrick O’Kane, MD.
En estos temas
