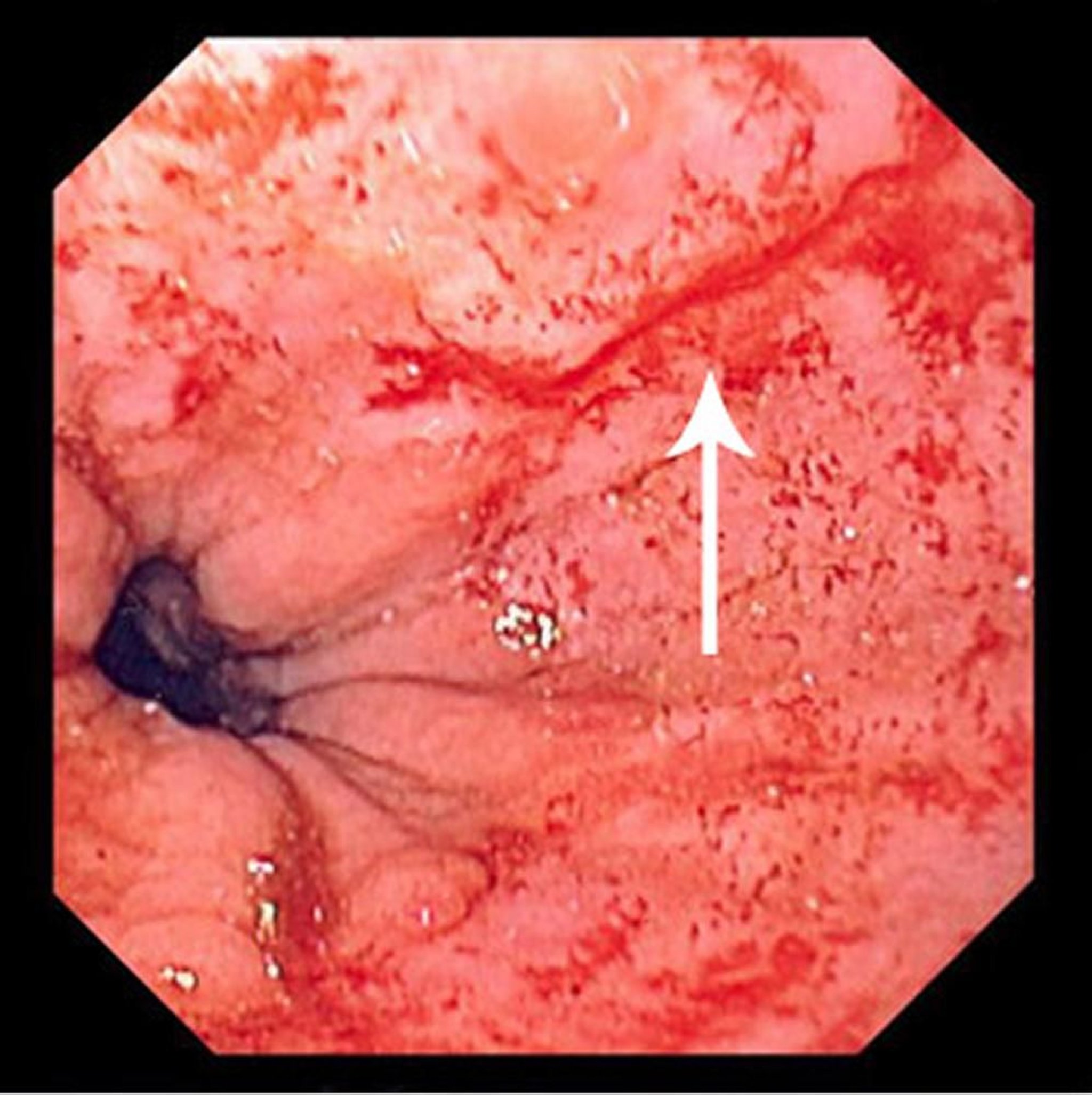
Desgarro de Mallory-Weiss
Esta foto muestra un fino desgarro de Mallory-Weiss (flecha).
Foto proporcionada por David M. Martin, MD.
En estos temas
Esta foto muestra un fino desgarro de Mallory-Weiss (flecha).
Foto proporcionada por David M. Martin, MD.