Fractura desplazada del olécranon

Fractura desplazada del olécranon

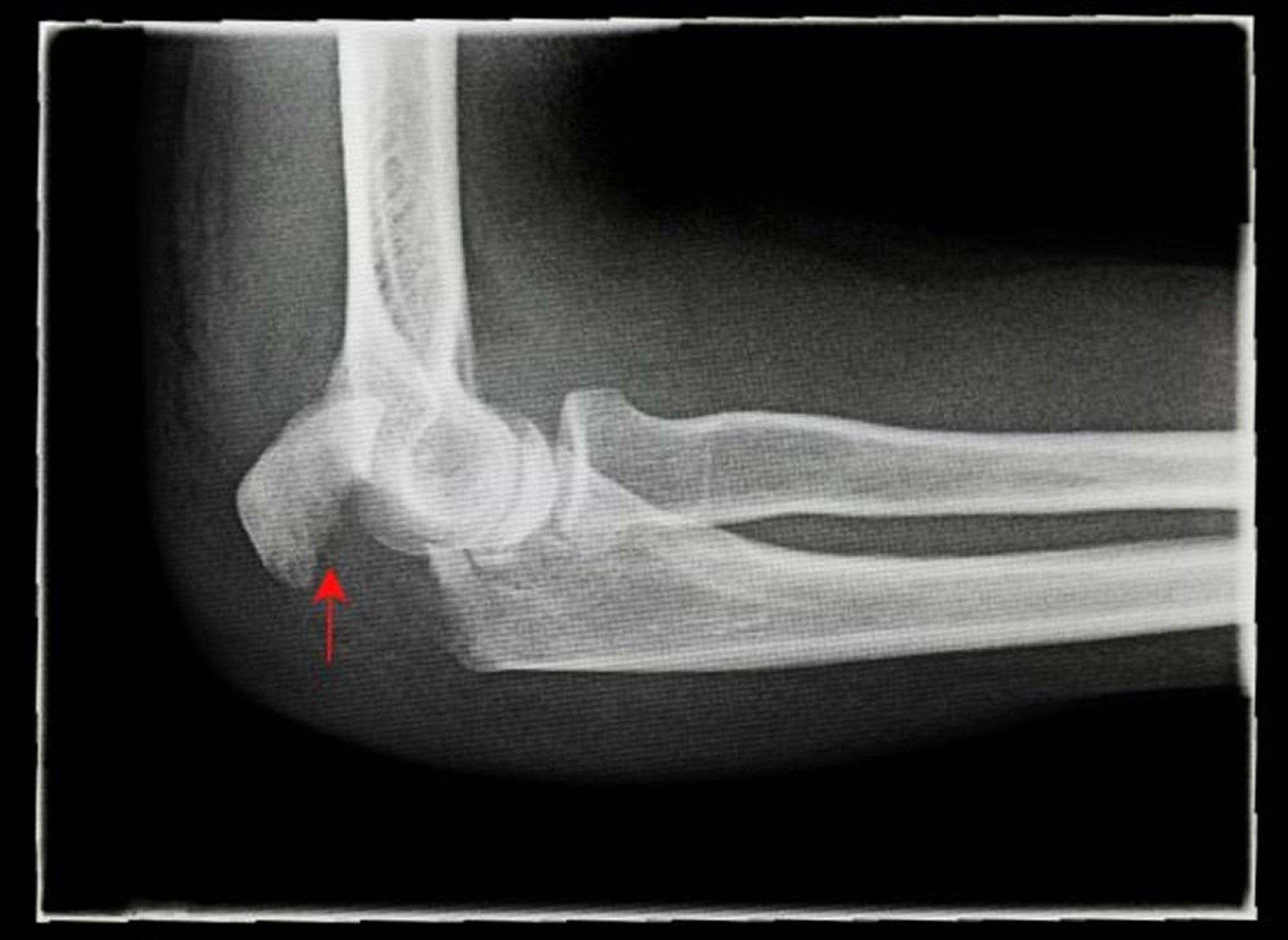
Esta radiografía muestra una vista lateral de una fractura desplazada del olécranon (flecha).

ANTONIA REEVE/SCIENCE PHOTO LIBRARY

En estos temas