Hipertrofia cardíaca
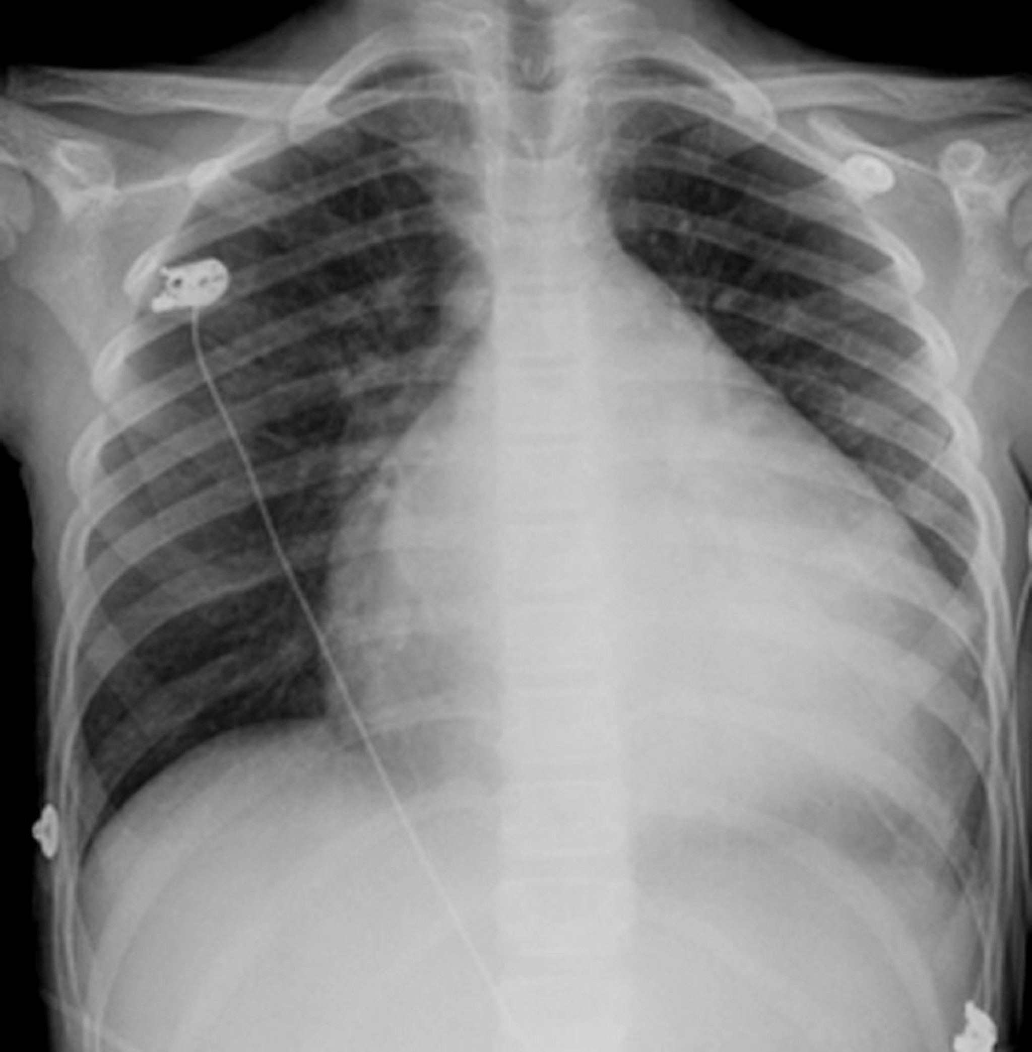
El corazón es la estructura globular de color blanco situada en el centro del tórax. Por lo general, ocupa menos de la mitad del tórax, pero en esta persona que tiene un corazón agrandado (miocardiopatía), el corazón ocupa casi 3/4 del tamaño del tórax.
© Springer Science + Business Media
En estos temas
