Pústulas
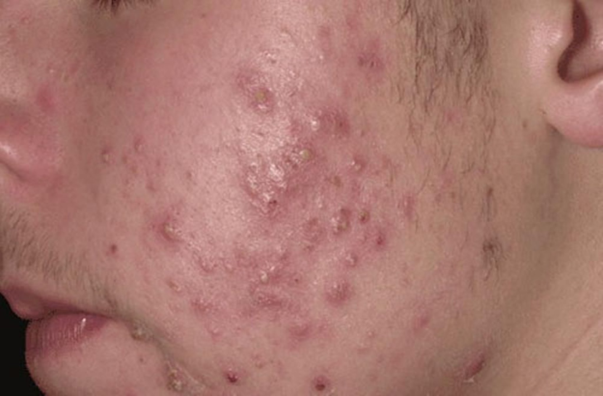
Las pústulas están elevadas, por lo general con manchas cuya parte superior es de color amarillo y contiene pus. En el rostro de esta persona con acné aparecen pústulas dispersas.
Foto proporcionada por Thomas Habif, MD.
Las pústulas están elevadas, por lo general con manchas cuya parte superior es de color amarillo y contiene pus. En el rostro de esta persona con acné aparecen pústulas dispersas.
Foto proporcionada por Thomas Habif, MD.