honeypot link
skip to main content
MerckManual MerckVersión para público general
TEMAS MÉDICOSVIDA SALUDABLESÍNTOMASEMERGENCIASINFORMACIÓN DE FÁRMACOSRECURSOSCOMENTARIOACERCA DE
homeTEMAS MÉDICOSVIDA SALUDABLE
Search icon
  1. <Imágenes
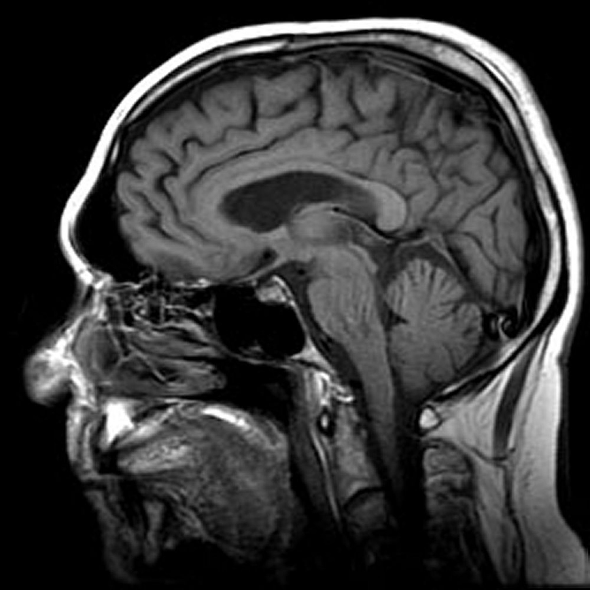
    Resonancia magnética nuclear (RMN) del cerebro

    Resonancia magnética nuclear (RMN) del cerebro

    Imagen proporcionada por Jon A. Jacobson, MD.

    En estos temas
    • Resonancia magnética nuclear (RMN) >
    • Datos Clave: Resonancia magnética nuclear (RMN) >
    Merck
    Merck y los Manuales Merck
    • Acerca de
    • Descargo de responsabilidad
    • Permisos
    • Aviso de privacidad
    • Cookie Preferences
    • Términos y condiciones de uso
    • Licencias
    • Comuníquese con nosotros
    • Manual de veterinaria (inglés solamente)
    • Aplicaciones móviles
    Merck

    Copyright© 2026Merck & Co., Inc., Rahway, NJ, USA y sus empresas asociadas. Todos los derechos reservados.