Los tumores que originalmente comienzan en el hueso se llaman tumores óseos primarios. Los tumores όseos primarios pueden ser no cancerosos (benignos) o cancerosos (malignos).
Una vez establecido el diagnóstico de cáncer, se estadifica. La estadificación es una forma de describir el progreso del cáncer, incluyendo criterios como el grado de agresividad (la probabilidad de que se disemine, en función del aspecto de las células tumorales vistas al microscopio), su tamaño y si se ha diseminado a los tejidos vecinos o a lugares más distantes, como los ganglios linfáticos u otros órganos.
(Véase también Introducción a los tumores óseos y Introducción al cáncer.)
Adamantinomas
Los adamantinomas son tumores poco frecuentes que aparecen mayoritariamente en la espinilla (tibia). Los tumores suelen afectar a jóvenes y personas de mediana edad, pero pueden presentarse a cualquier edad. A menudo causan dolor, y los afectados pueden notar el tumor por debajo de la piel cuando pasan los dedos por encima.
Estos tumores son de crecimiento lento y de bajo grado, lo que significa que la probabilidad de que se diseminen (formen metástasis) es menor que la de algunos otros tumores. Sin embargo, aunque con muy poca frecuencia, se producen metástasis (principalmente en los pulmones).
Para confirmar el diagnóstico de adamantinomas, los médicos toman radiografías y una muestra de tejido y la examinan al microscopio (biopsia).
El tratamiento de los adamantinomas consiste en su extirpación quirúrgica sin invadir el tumor, por el riesgo de diseminación de las células tumorales. Si las células se diseminan, el cáncer puede reaparecer. En raras ocasiones, dependiendo de la ubicación del tumor o de si el tumor reaparece, puede ser necesaria la extirpación quirúrgica de la pierna afectada (amputación).
Condrosarcomas
Los condrosarcomas son tumores formados por células cartilaginosas cancerosas. Estos tumores tienden a aparecer en adultos de mediana edad y mayores. Estos tumores a menudo se desarrollan en huesos planos como la pelvis o el omóplato (escápula), pero pueden desarrollarse en cualquier porción de cualquier hueso y también en los tejidos que los rodean. Muchos condrosarcomas son tumores de crecimiento lento o de bajo grado, lo que significa que la probabilidad de que se extiendan es menor (metastatizan) que en algunos otros tumores. Sin embargo, algunos condrosarcomas son tumores de crecimiento rápido o de alto grado, que tienden a metastatizar.
Para confirmar el diagnóstico de condrosarcoma, los médicos solicitan radiografías, una gammagrafía ósea y una resonancia magnética nuclear (RMN). Los médicos también toman una muestra de tejido y la examinan al microscopio (biopsia).
Los condrosarcomas de bajo grado son frecuentemente extirpados del hueso raspándolos con un instrumento en forma de pala (legrado óseo) y mediante la utilización de nitrógeno líquido, fenol, cemento óseo (metacrilato de metilo), o un rayo de argón para matar las células tumorales superficiales incrustadas en el hueso. Casi todos los tumores de bajo grado se curan con estos tratamientos quirúrgicos.Los condrosarcomas de bajo grado son frecuentemente extirpados del hueso raspándolos con un instrumento en forma de pala (legrado óseo) y mediante la utilización de nitrógeno líquido, fenol, cemento óseo (metacrilato de metilo), o un rayo de argón para matar las células tumorales superficiales incrustadas en el hueso. Casi todos los tumores de bajo grado se curan con estos tratamientos quirúrgicos.
Los condrosarcomas de alto grado o de rápido crecimiento son tumores agresivos y son más propensos a producir metástasis que otros tumores. Estos tumores deben ser extirpados quirúrgicamente en su integridad, es decir, sin invadir el tumor, por el riesgo de diseminación de las células tumorales. Si las células se diseminan, el cáncer puede reaparecer.
Estos tumores de cualquier grado no responden a la quimioterapia ni a la radioterapia. La extirpación quirúrgica (amputación) del brazo o la pierna afectados casi nunca es necesaria.
Cordomas
Los cordomas son infrecuentes y cancerosos y tienden a presentarse en los extremos de la columna vertebral, generalmente en el centro de la base de la columna (sacro) o en el cóccix, o bien cerca de la base del cráneo. Un cordoma que afecta al sacro o al cóccix causa un dolor considerable. Un cordoma localizado en la base del cráneo puede causar problemas en los nervios de la base del cráneo (los nervios craneales), más comúnmente en el nervio óptico. Los síntomas pueden estar ya presentes de meses a varios años antes de que se realice el diagnóstico. Los cordomas no suelen extenderse (hacer metástasis) a otras zonas como los pulmones a menos que sean muy agresivos, pero pueden regresar después del tratamiento.
Para ayudar a diagnosticar los cordomas, los médicos realizan una resonancia magnética nuclear (RMN). También hacen una biopsia.
Los que afectan al sacro o al cóccix pueden curarse mediante extirpación quirúrgica. Los localizados en la base del cráneo habitualmente no pueden curarse con cirugía pero la radioterapia puede reducir temporalmente el tamaño del tumor y aliviar el dolor.
Sarcoma óseo de Ewing
El sarcoma de Ewing es un tumor canceroso que afecta con mayor frecuencia a varones que a mujeres y se presenta principalmente en personas de entre 10 y 20 años de edad. La mayoría de estos tumores se desarrollan en brazos y piernas, aunque pueden aparecer en cualquier hueso. Los síntomas más frecuentes son el dolor y la tumefacción. Estos tumores llegan a ser bastante grandes, afectando en ocasiones al hueso en toda su longitud. El tumor puede incluir una gran masa de tejido blando.
Para diagnosticar el sarcoma de Ewing, se realizan radiografías. Aunque las radiografías pueden mostrar algunos detalles, la resonancia magnética nuclear (RMN) puede ayudar a determinar el tamaño exacto del tumor. Para confirmar el diagnóstico, los médicos efectúan una biopsia.
Esta radiografía del hombro muestra un sarcoma de Ewing (flechas) dentro del hueso del brazo.
Imagen cortesía de Michael J. Joyce, MD, y Hakan Ilaslan, MD.
El tratamiento del sarcoma de Ewing incluye varias combinaciones de cirugía, quimioterapia y radioterapia, dependiendo de si la cirugía es conveniente o, en caso de que se haya intentado, de si ha tenido éxito. Con dichas combinaciones de tratamiento se cura más del 60% de las personas que tienen sarcoma de Ewing.
Linfoma de hueso
El linfoma óseo es un tumor canceroso que generalmente afecta a adultos. Puede originarse en cualquier hueso o bien en otra parte del organismo y extenderse después de forma diseminada a la médula ósea. Habitualmente, este tumor causa dolor y tumefacción y una acumulación de tejido blando. El hueso dañado tiende a romperse (fracturarse).
Para diagnosticar un linfoma óseo, los médicos solicitan radiografías y una resonancia magnética nuclear (RMN) para obtener una imagen más precisa de la extensión del tejido blando y la afectación ósea.
El tratamiento del linfoma óseo consistente en una combinación de quimioterapia, con o sin radioterapia, parece ser tan eficaz como la extirpación quirúrgica del tumor. La amputación solo es necesaria en casos poco frecuentes. Cuando un hueso parece que se puede fracturar, los médicos lo estabilizan quirúrgicamente con el fin de evitar una fractura.
Osteosarcomas (sarcoma osteogénico)
El osteosarcoma es el tipo más frecuente de tumor óseo canceroso primario si se considera el mieloma múltiple como un tumor hematológico. Aunque son más comunes en niños y adolescentes, los osteosarcomas pueden ocurrir a cualquier edad. Los niños portadores del gen del retinoblastoma hereditario y del síndrome de Li-Fraumeni tienen mayor riesgo de desarrollar osteosarcoma. Los adultos mayores de 60 años, especialmente aquellos que tienen enfermedad de Paget ósea, los que se han sometido a radioterapia ósea para otro cáncer, o aquellos que tienen áreas de tejido óseo muerto (llamados infartos óseos) y otras afecciones, también a veces desarrollan este tipo de tumor.
Osteosarcomas, por lo general, se presentan en la rodilla o alrededor de esta, aunque se pueden originar en cualquier hueso. Tienden a extenderse (metastatizar) a los pulmones o a los otros huesos. Usualmente, estos tumores causan dolor, hinchazón o una acumulación de tejido blando, y pérdida de movimiento articular.
Se realizan radiografías, pero el diagnóstico de osteosarcoma requiere la extracción de una muestra de tejido para su examen al microscopio (biopsia). Para detectar las metástasis del cáncer en el pulmón se necesita una radiografía de tórax y una tomografía computarizada (TC) y para detectar el cáncer que se ha extendido a otros huesos se necesita una gammagrafía ósea. La resonancia magnética nuclear (RMN) y la tomografía por emisión de positrones (PET) en combinación con la tomografía computarizada (PET-TC) son otras de las pruebas de diagnóstico por la imagen que también se pueden solicitar.
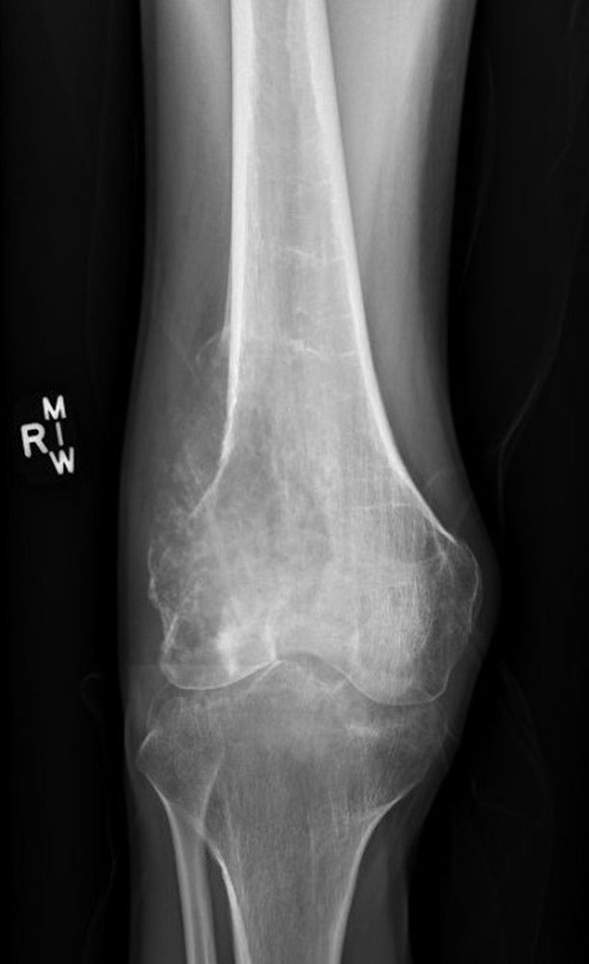
Esta radiografía de la rodilla muestra un osteosarcoma en el hueso del muslo (fémur), por encima de la rodilla.
Imagen cortesía de Lukas Nystrom, MD.
Más del 65% de las personas que tienen este tipo de tumor sobreviven al menos 5 años después del diagnóstico si han recibido quimioterapia y el cáncer no ha hecho metástasis. Si la quimioterapia destruye casi todo el cáncer, la probabilidad de sobrevivir al menos 5 años es mayor del 90%. Debido a la mejora de las técnicas quirúrgicas, el brazo o la pierna afectados pueden frecuentemente salvarse y reconstruirse. En el pasado, por lo general, la extremidad afectada tenía que ser amputada.
Los osteosarcomas suelen tratarse con una combinación de quimioterapia y cirugía. Habitualmente se administra primero la quimioterapia. El dolor disminuye con frecuencia durante esta fase del tratamiento. Después el tumor se extirpa quirúrgicamente sin cortarlo. Si se cortara el tumor, sus células se diseminarían, lo que podría provocar la vuelta del cáncer a la misma zona. La quimioterapia continúa después de la cirugía.
Información del fármaco para el tema



