Fracturas del escafoides (navicular)

PorDanielle Campagne, MD, University of California, San Francisco
Reviewed ByDiane M. Birnbaumer, MD, David Geffen School of Medicine at UCLA
Revisado/Modificado Modificado mar 2025
v13387088_es
Vista para pacientes

Las fracturas escafoides suelen ser el resultado de hiperextensión de la muñeca. Puede que no sean visibles en las radiografías iniciales. Las complicaciones pueden ser significativas.

(Véase también Generalidades sobre las fracturas).

El escafoides es el hueso carpiano más comúnmente lesionado. Las fracturas del escafoides suelen ser el resultado de una hiperextensión de la muñeca, en general durante una caída sobre una mano hiperextendida. Pueden interrumpir el suministro de sangre al escafoides proximal. La osteonecrosis es por lo tanto una complicación frecuente, incluso cuando el cuidado inicial es óptimo, y puede producir una artritis degenerativa incapacitante de la muñeca.

Síntomas y signos de fracturas del escafoides

La cara radial de la muñeca está edematizada e hipersensible. Si los pacientes tienen estos síntomas, se debe considerar fractura de escafoides. Los signos más específicos incluyen

  • Dolor durante la compresión axial del dedo pulgar

  • Dolor durante la supinación de la muñeca contra resistencia

  • En particular sensibilidad en la tabaquera anatómica durante la desviación cubital de la muñeca

La tabaquera anatómica (se palpa justo distal al radio, entre los tendones del extensor largo del pulgar, el extensor corto del pulgar y el abductor largo del pulgar).

Diagnóstico de las fracturas de escafoides

  • Radiografías

  • RM

  • Si se sospecha una fractura de escafoides y las imágenes no son diagnósticas, se realiza un tratamiento presuntivo con una tablilla en forma de espiga en el pulgar y una radiografía de seguimiento

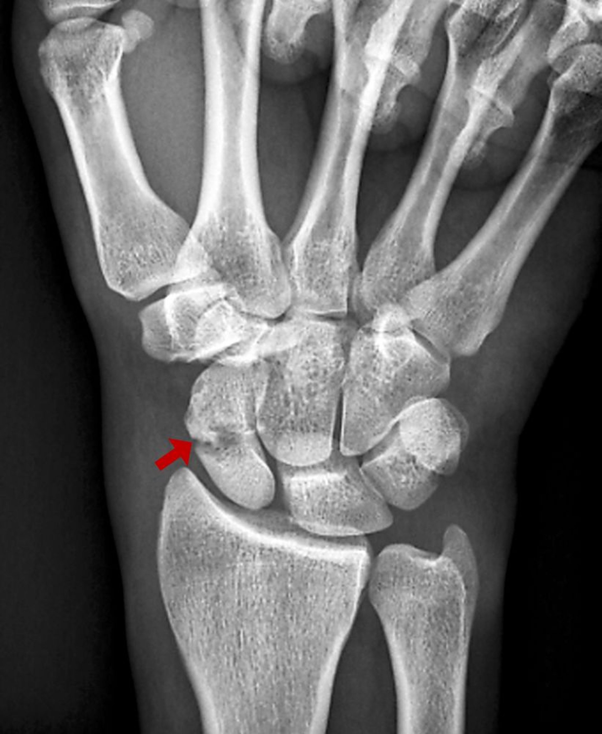
Inicialmente, se toman radiografías simples (vistas anteroposterior, lateral y oblicuas), pero suelen ser normales. Solo alrededor del 70% de las fracturas del escafoides se observan en las radiografías iniciales (1).

Si las radiografías son normales pero aún se sospecha una fractura se debe realizar una RM. La RM puede utilizarse para diagnosticar fracturas de escafoides porque es más precisa que la TC o la gammagrafía ósea en el contexto agudo (1).

Si se sospecha una fractura clínicamente y la imagen no es diagnóstica, esta se trata presuntamente como una fractura y se aplica una férula en espiga para el pulgar. El paciente debe ser reexaminado 1 semana después de la lesión. Si el paciente todavía tiene dolor o si la muñeca está dolorida cuando se la examina 1 semana después de la lesión, se deben obtener nuevas radiografías, TC o RM.

Perlas y errores

  • Si los hallazgos clínicos sugieren una fractura de escafoides, hacer resonancia magnética o inmovilizar con férula de pulgar, incluso si no hay fractura evidente en la radiografía.

Férula en espiga del pulgar

Referencias del diagnóstico

  1. 1. Gäbler C, Kukla C, Breitenseher MJ, Trattnig S, Vécsei V. Diagnosis of occult scaphoid fractures and other wrist injuries. Are repeated clinical examinations and plain radiographs still state of the art?. Langenbecks Arch Surg. 2001;386(2):150-154. doi:10.1007/s004230000195

  2. 2. Carpenter CR, Pines JM, Schuur JD, et al. Adult scaphoid fracture. Acad Emerg Med. 21 (2):101–121, 2014. doi: 10.1111/acem.12317

Tratamiento de las fracturas de escafoides

  • Inmovilización con yeso en espiga para el pulgar

Muchas fracturas no desplazadas pueden tratarse definitivamente con yeso del pulgar, que se usa durante un máximo de 6 a 8 semanas. Se puede aplicar una férula en espiga del pulgar si es necesario diferir la aplicación del yeso.

A veces la reducción abierta con fijación interna (RAFI) es necesaria cuando hay un desplazamiento moderado de los segmentos de la fractura.

Conceptos clave

  • Las fracturas del escafoides suelen ser el resultado de una hiperextensión de la muñeca, en general durante una caída sobre una mano hiperextendida.

  • Estas fracturas pueden alterar el suministro de sangre al escafoides proximal; por lo tanto, la osteonecrosis es una complicación común, a veces incapacitante.

  • Obtenga radiografías anteroposterior, lateral y oblicua; si las imágenes son normales o no diagnósticas, pero los hallazgos clínicos sugieren una fractura de escafoides, obtenga una RM o inmovilice con una férula en espiga para el pulgar y establezca una cita para repetir las radiografías en 1 semana.

quizzes_lightbulb_red
Test your KnowledgeTake a Quiz!
iOS ANDROID
iOS ANDROID
iOS ANDROID