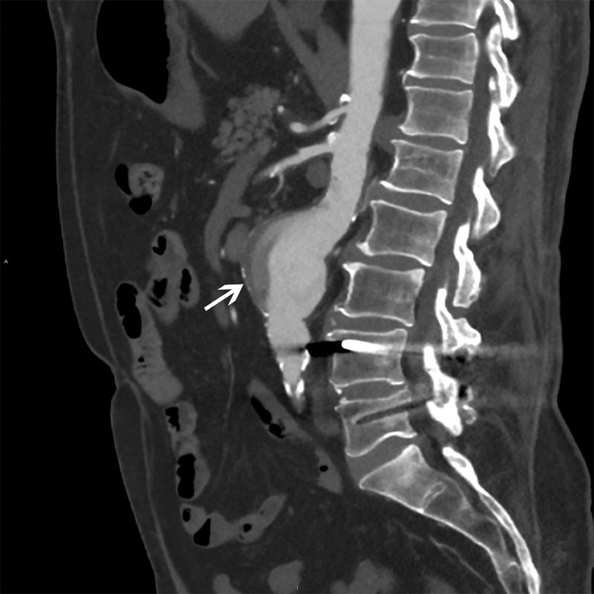
Aneurisma aórtico abdominal (tomografía computarizada)
La flecha blanca muestra un aneurisma aórtico abdominal de 5 cm con flujo heterogéneo y placa mural.
© 2017 Elliot K. Fishman, MD.
En estos temas
La flecha blanca muestra un aneurisma aórtico abdominal de 5 cm con flujo heterogéneo y placa mural.
© 2017 Elliot K. Fishman, MD.