Aspergiloma recidivante
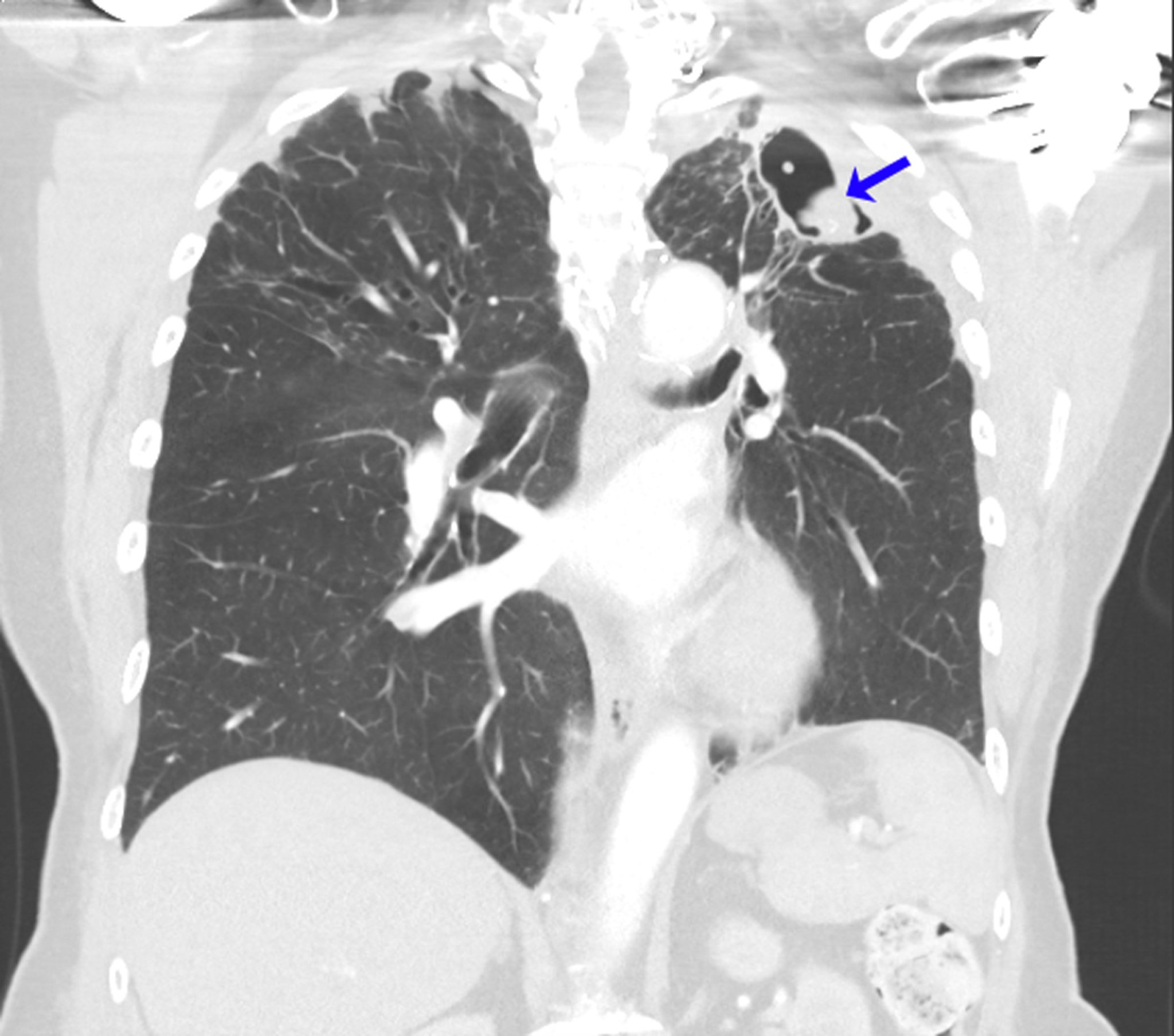
Esta TC muestra los pulmones de una persona con antecedentes de aspergilosis broncopulmonar alérgica en el contexto de asma. Después de la lobulectomía superior izquierda para el aspergiloma, se desarrolló un micetoma recurrente en el vértice pulmonar izquierdo (flecha).
Image courtesy of Paschalis Vergidis, MD, MSc.
En estos temas
