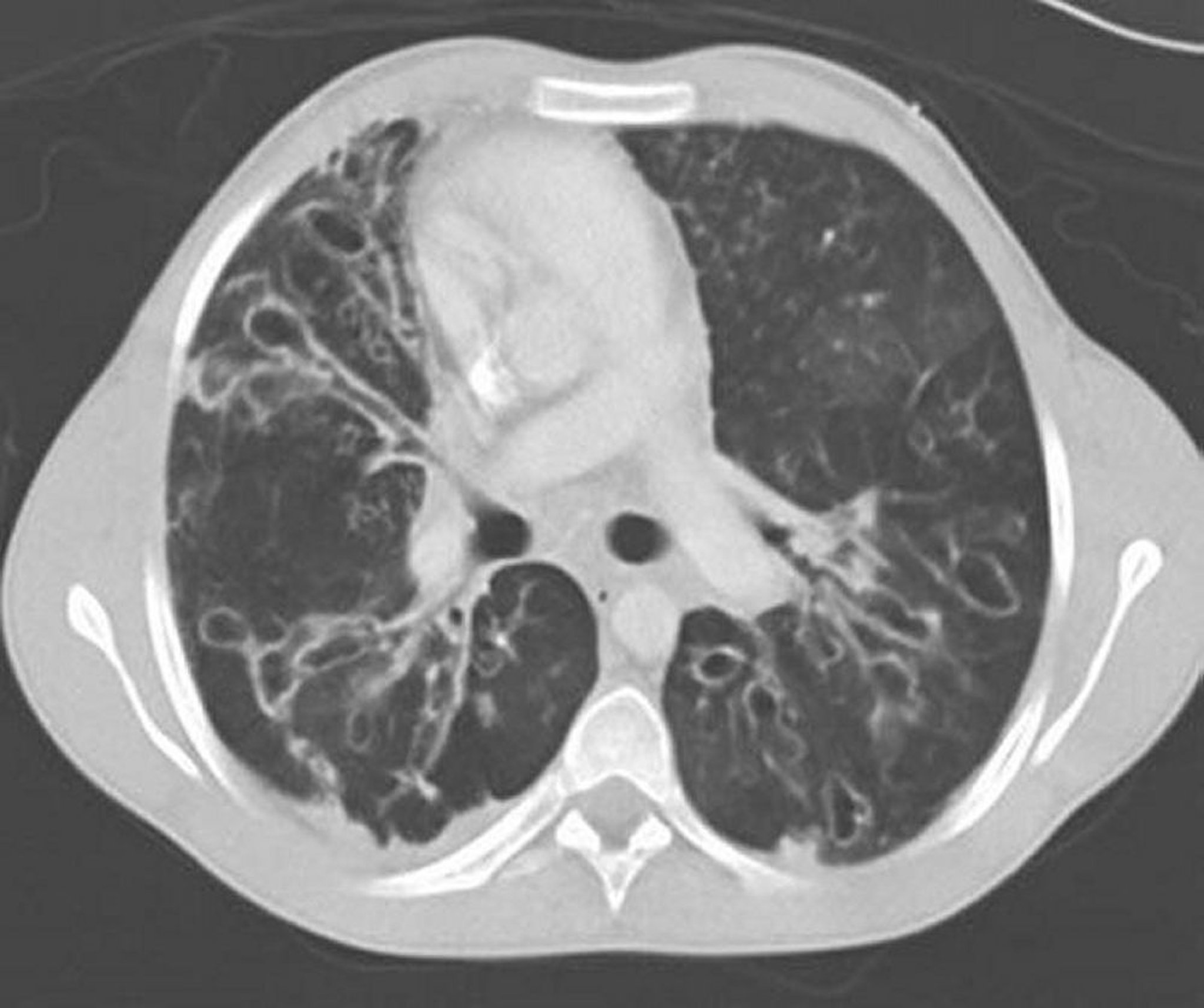
Aspergilosis broncopulmonar alérgica (bronquiectasia)
Una TC de tórax con contraste muestra bronquiectasias graves en las zonas medias del pulmón con vías aéreas muy dilatadas y ectásicas y cambios quísticos. La ectasia de la vía aérea se caracteriza por una relación entre la vía aérea y el vaso adyacente > 1.
By permission of the publisher. De Coakley R, Boucher R, Fiel S, et al. In Bone's Atlas of Pulmonary and Critical Care Medicine. Edited by J Crapo. Philadelphia, Current Medicine, 2005.
En estos temas
