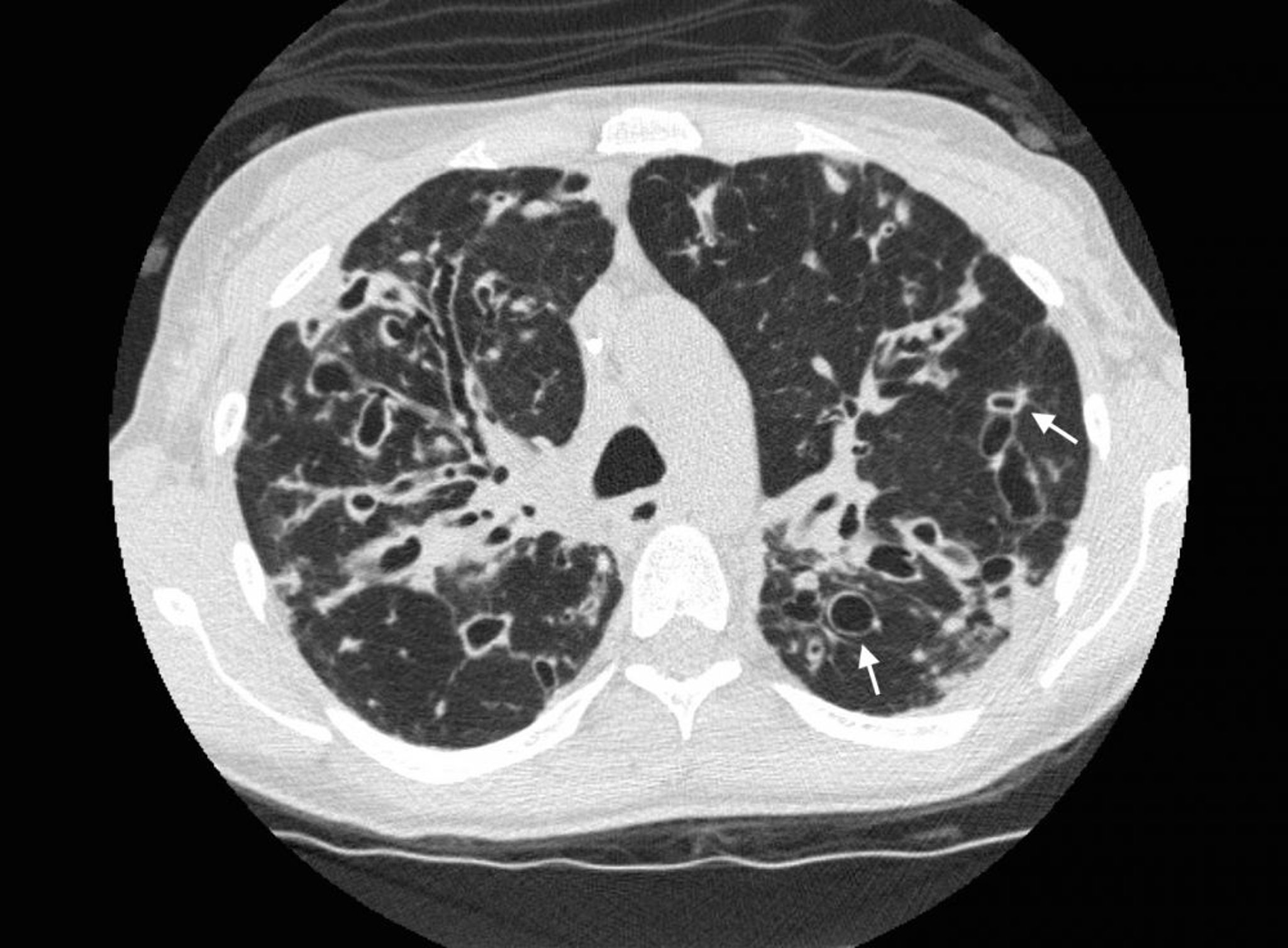
Bronquiectasias (tomografía computarizada)
Una TC de tórax en un paciente con fibrosis quística muestra bronquiectasias graves en los campos pulmonares superiores con vías aéreas dilatadas y cambios quísticos. Las flechas muestran el signo del anillo de sello, donde una vía aérea dilatada (el anillo) está adyacente a una arteria más pequeña (la parte superior del anillo). Normalmente, las vías aéreas son del mismo tamaño o más pequeñas que las arterias adyacentes.
Photo courtesy of Başak Çoruh, MD.
En estos temas
