Caries (examen físico)

Caries (examen físico)

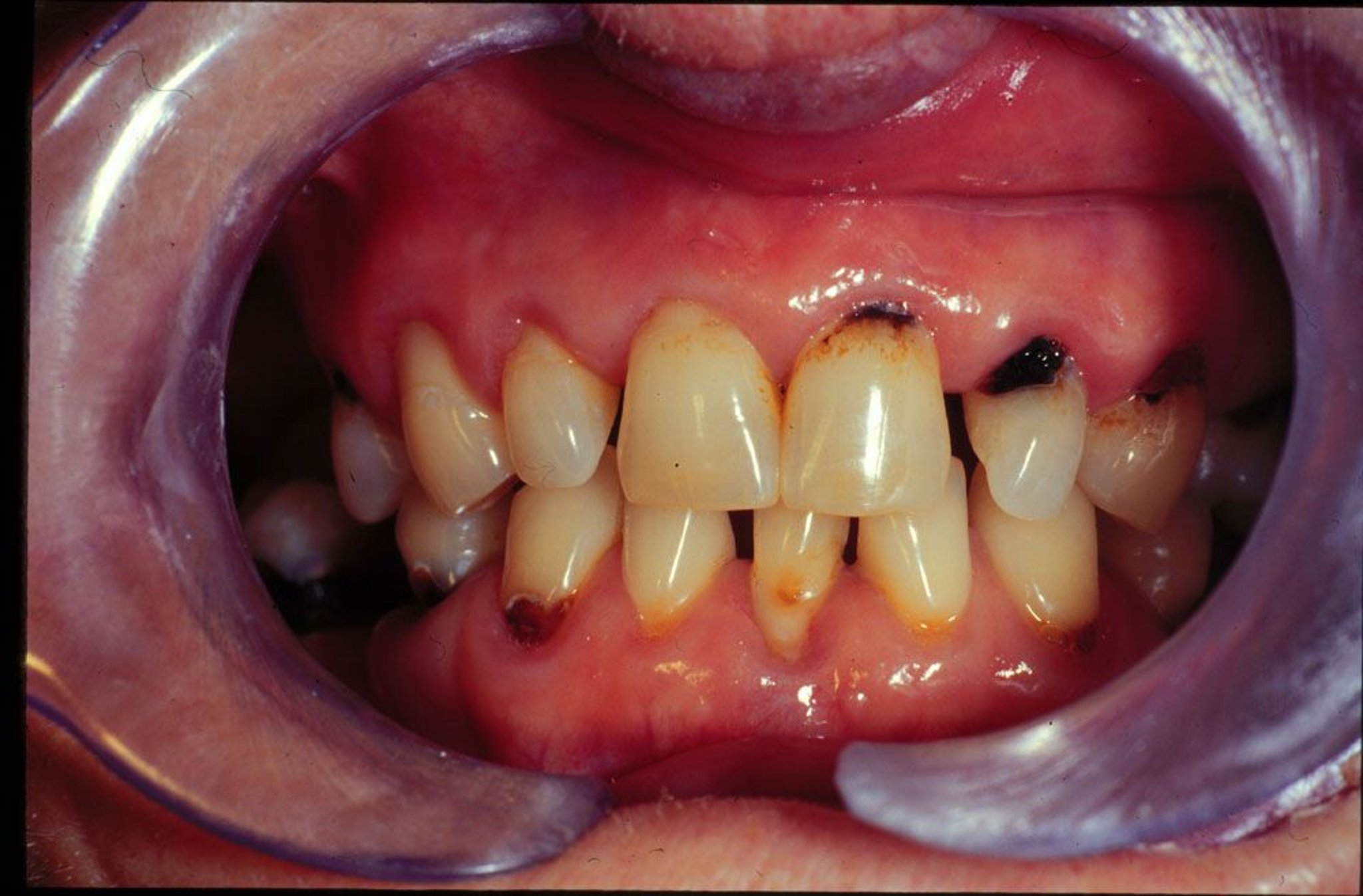
Caries dental nueva y recidivante en un paciente con xerostomía.

Image provided by Jonathan A. Ship, DMD.

En estos temas