Criptococosis (sistema nervioso central)
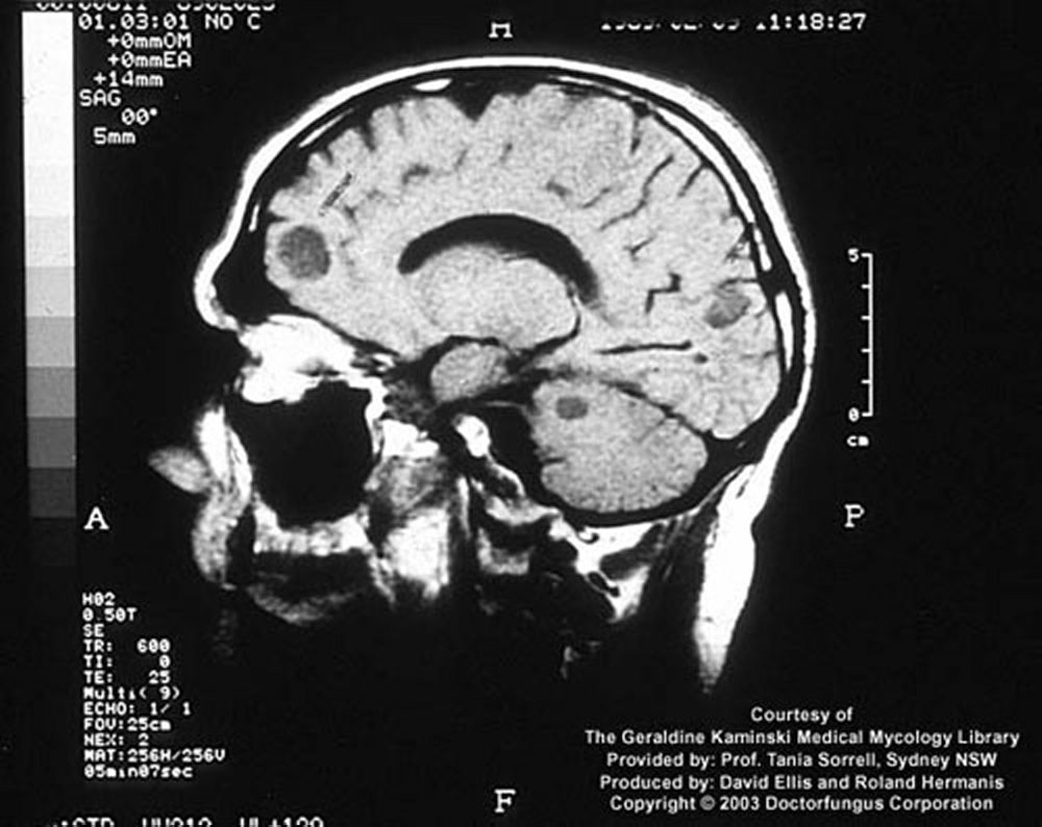
En un huésped inmunocomprometido, la infección criptocócica puede manifestarse como lesiones cerebrales focales llamadas criptococomas.
Image courtesy of www.doctorfungus.org © 2005.
En estos temas
En un huésped inmunocomprometido, la infección criptocócica puede manifestarse como lesiones cerebrales focales llamadas criptococomas.
Image courtesy of www.doctorfungus.org © 2005.