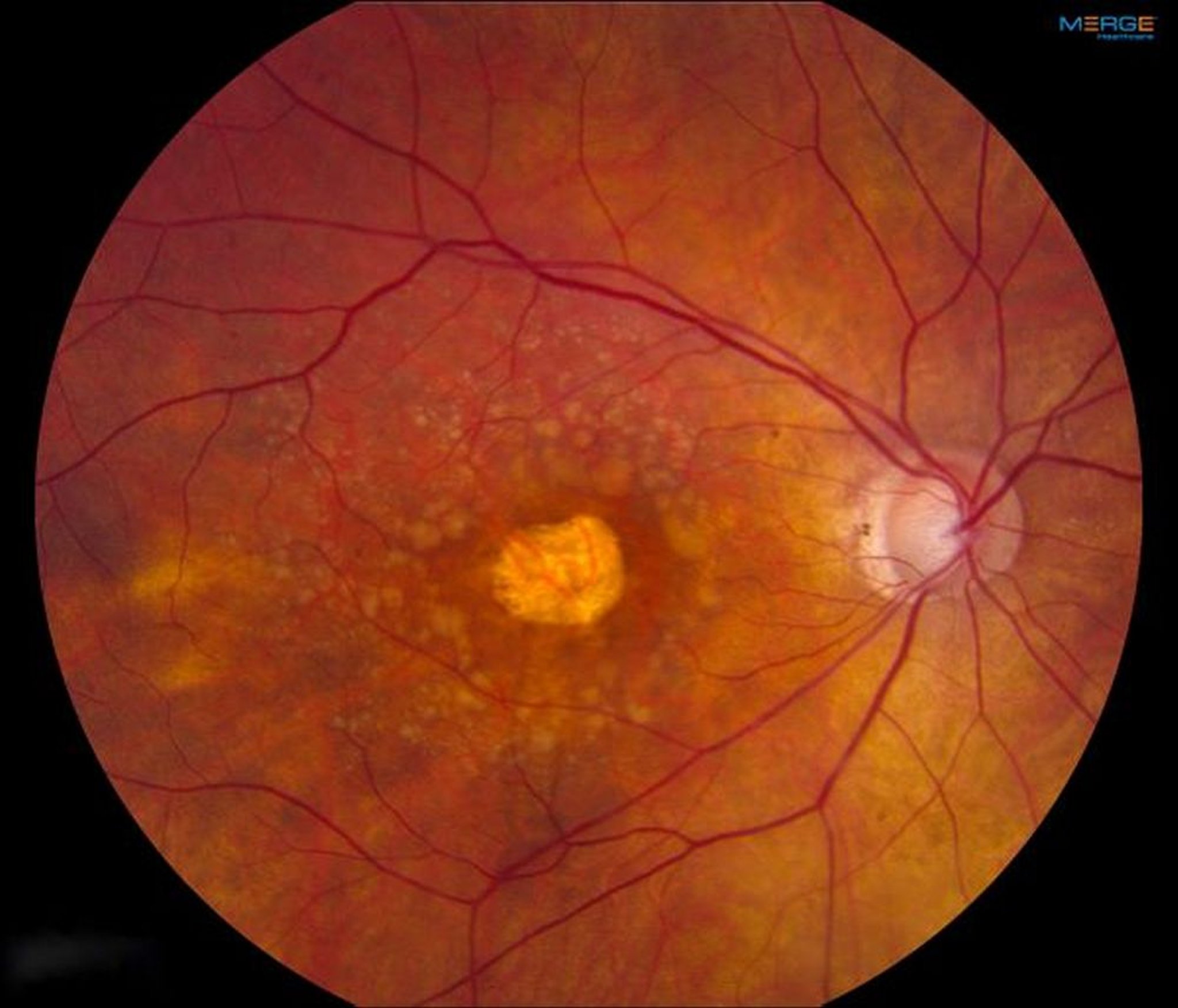
Degeneración macular relacionada con la edad (seca, avanzada)
Con el tiempo, algunos ojos desarrollan atrofia central del epitelio pigmentario de la retina y los fotorreceptores. Esto puede provocar una pérdida significativa de la visión central, que es característica de la degeneración macular asociada con la edad avanzada.
Imagen proporcionada por Sunir Garg, MD.
En estos temas
