Displasia fibromuscular de la arteria renal
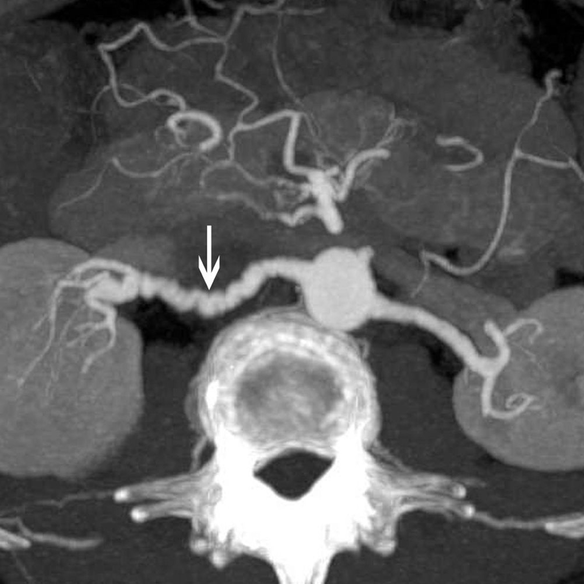
Esta imagen muestra el signo clásico de "collar de cuentas" (flecha) en un paciente con displasia fibromuscular de la arteria renal.
© 2017 Elliot K. Fishman, MD.
En estos temas
Esta imagen muestra el signo clásico de "collar de cuentas" (flecha) en un paciente con displasia fibromuscular de la arteria renal.
© 2017 Elliot K. Fishman, MD.