Diverticulosis (TC)
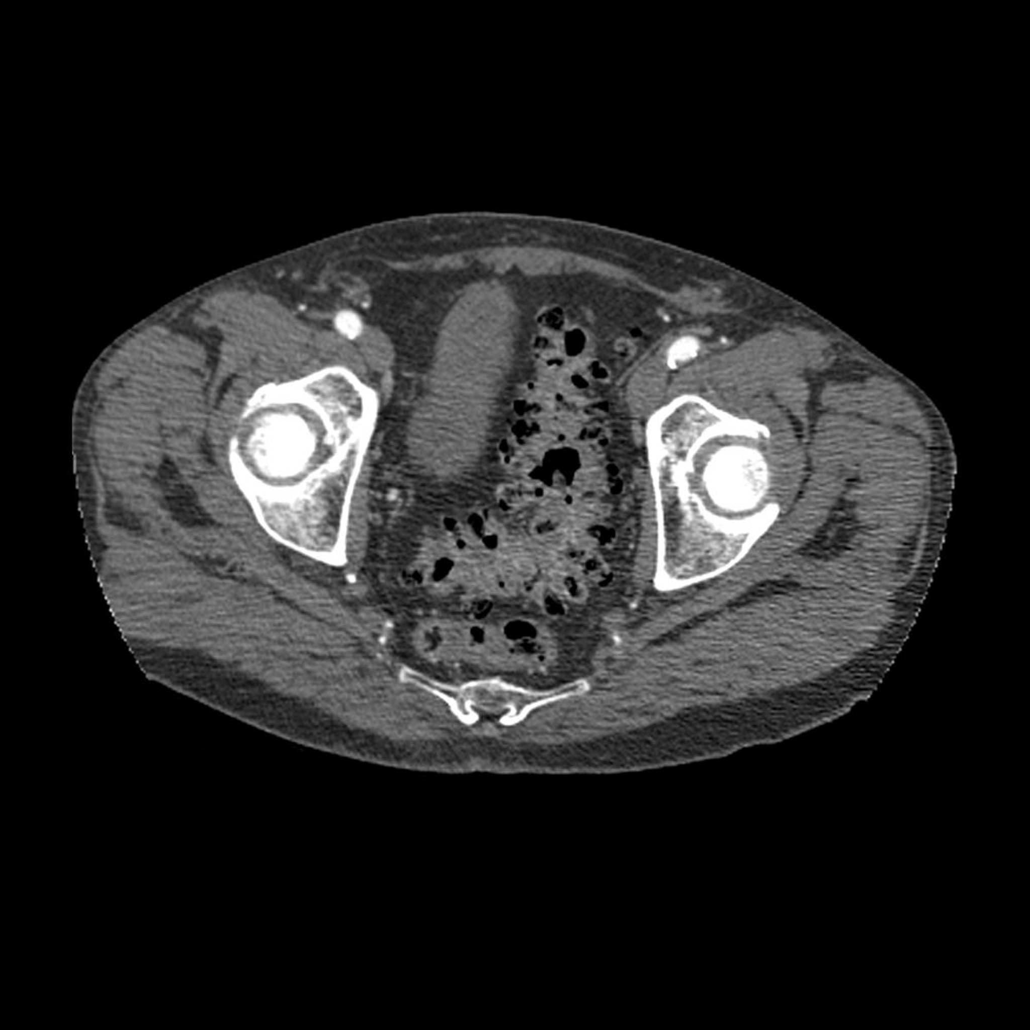
Este corte transversal de TC a través de la pelvis muestra el aspecto típico de la diverticulosis (las áreas oscuras en la pared del colon sigmoideo).
LIVING ART ENTERPRISES, LLC/SCIENCE PHOTO LIBRARY
En estos temas
Este corte transversal de TC a través de la pelvis muestra el aspecto típico de la diverticulosis (las áreas oscuras en la pared del colon sigmoideo).
LIVING ART ENTERPRISES, LLC/SCIENCE PHOTO LIBRARY