Enfermedad tiroidea ocular (TC)
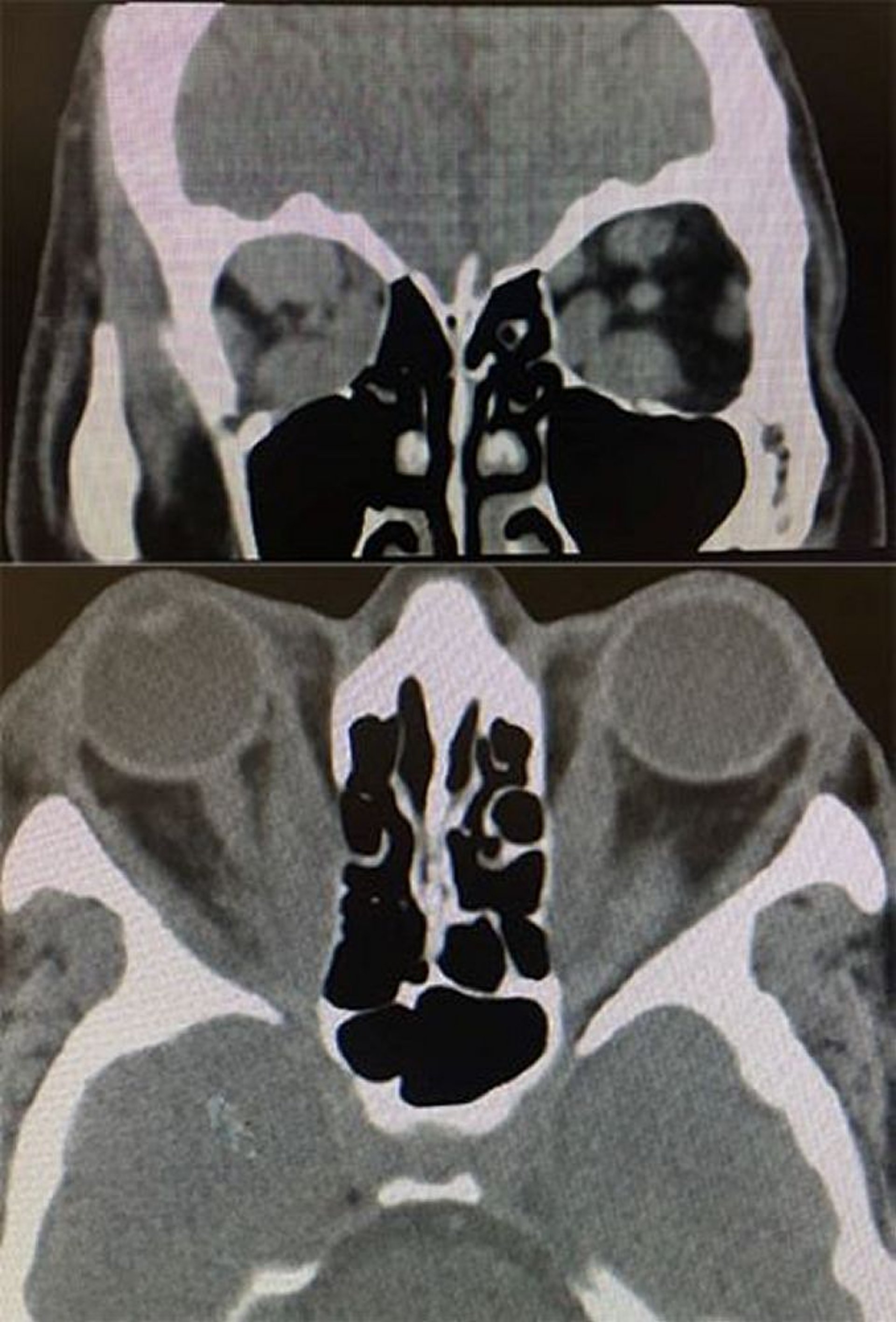
En esta imagen, la TC axial y coronal muestra hallazgos de enfermedad ocular tiroidea. Inferior: la TC axial muestra un aumento del tamaño del músculo recto medial bilateral sin afectación tendinosa. Superior: la TC coronal muestra un aumento del tamaño de los músculos rectos inferior, superior y medial más a la derecha que a la izquierda.
Images courtesy of Richard C. Allen, MD, PhD.
En estos temas
