Esguince de tobillo con inestabilidad
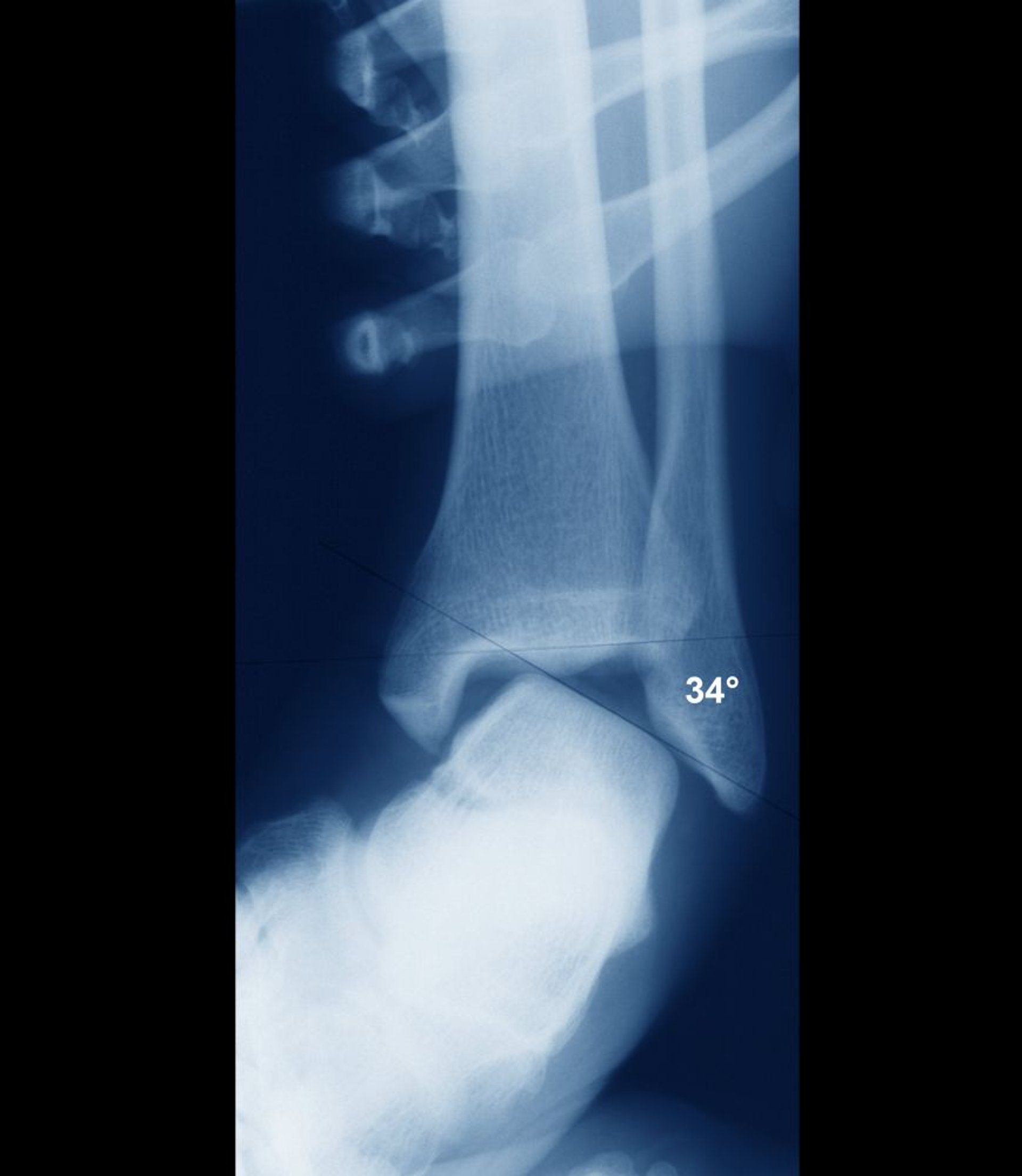
Si el tobillo está estable, las superficies intraarticulares del astrágalo y la tibia deben ser paralelas. Aquí, están ampliamente desalineados, lo que indica una inestabilidad articular evidente. La inestabilidad se habría evidenciado con claridad en el examen clínico, y la inestabilidad normalmente se evalúa mediante el examen clínico sin necesidad de radiografías.
ZEPHYR/SCIENCE PHOTO LIBRARY
En estos temas
