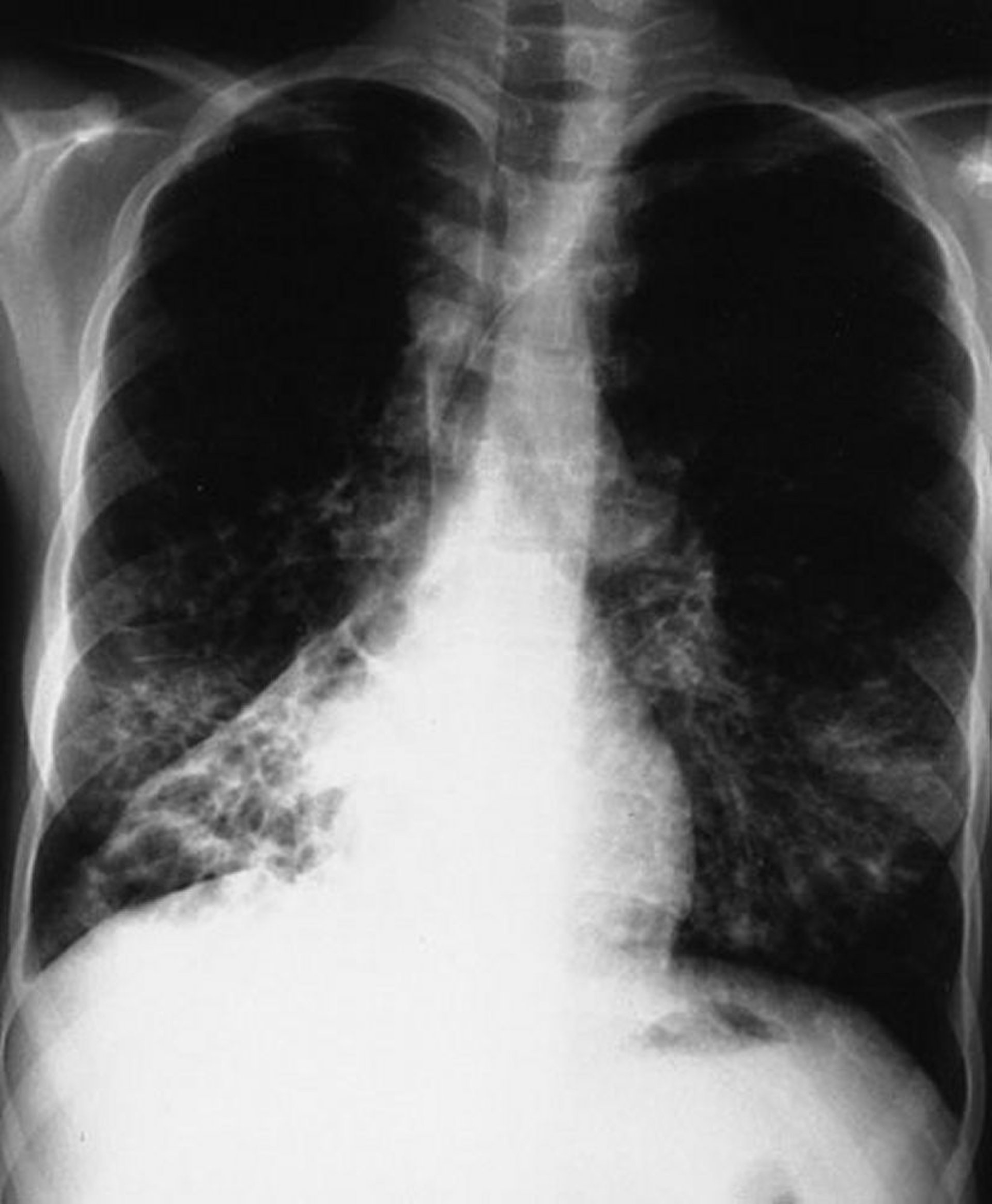
Fibrosis quística (radiografía de tórax)
Esta radiografía de tórax muestra un colapso del lóbulo inferior derecho. Los hallazgos son típicos de la fibrosis quística, pero no son específicos.
By permission of the publisher. From Berman L: Atlas of Anesthesia: Critical Care. Edited by R Miller (series editor) and RR Kirby. Philadelphia, Current Medicine, 1997.
En estos temas
