Fractura de Maisonneuve (1)
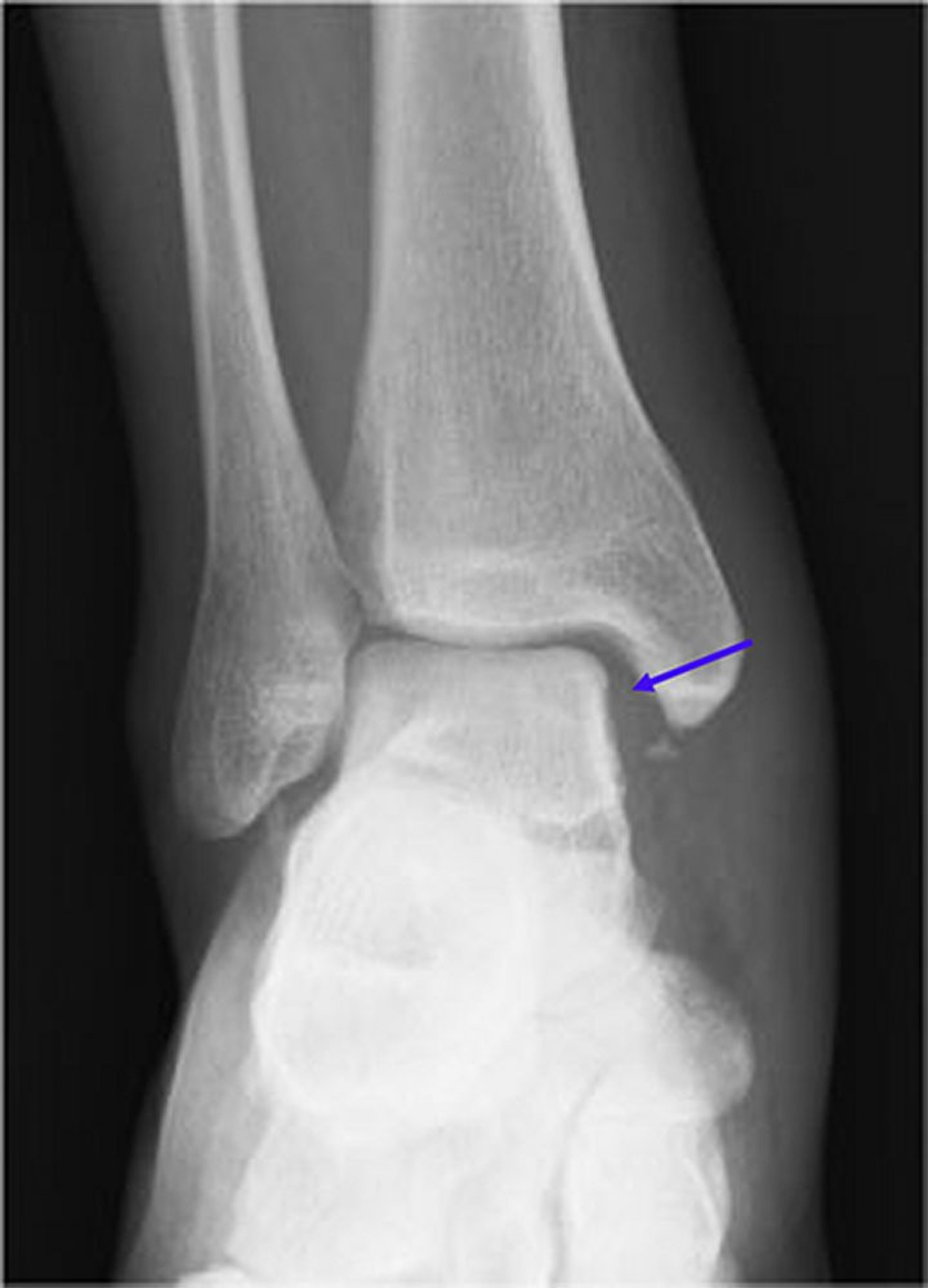
Esta radiografía muestra una alteración (ensanchamiento) de la articulación medial en mortaja (flecha azul). Normalmente, el espacio de la articulación en mortaja debe ser simétrico alrededor del astrágalo. En presencia de una fractura peroneal proximal concomitante, esto se conoce como fractura de Maisonneuve.
Image courtesy of Danielle Campagne, MD.
En estos temas
