Fractura del escafoides
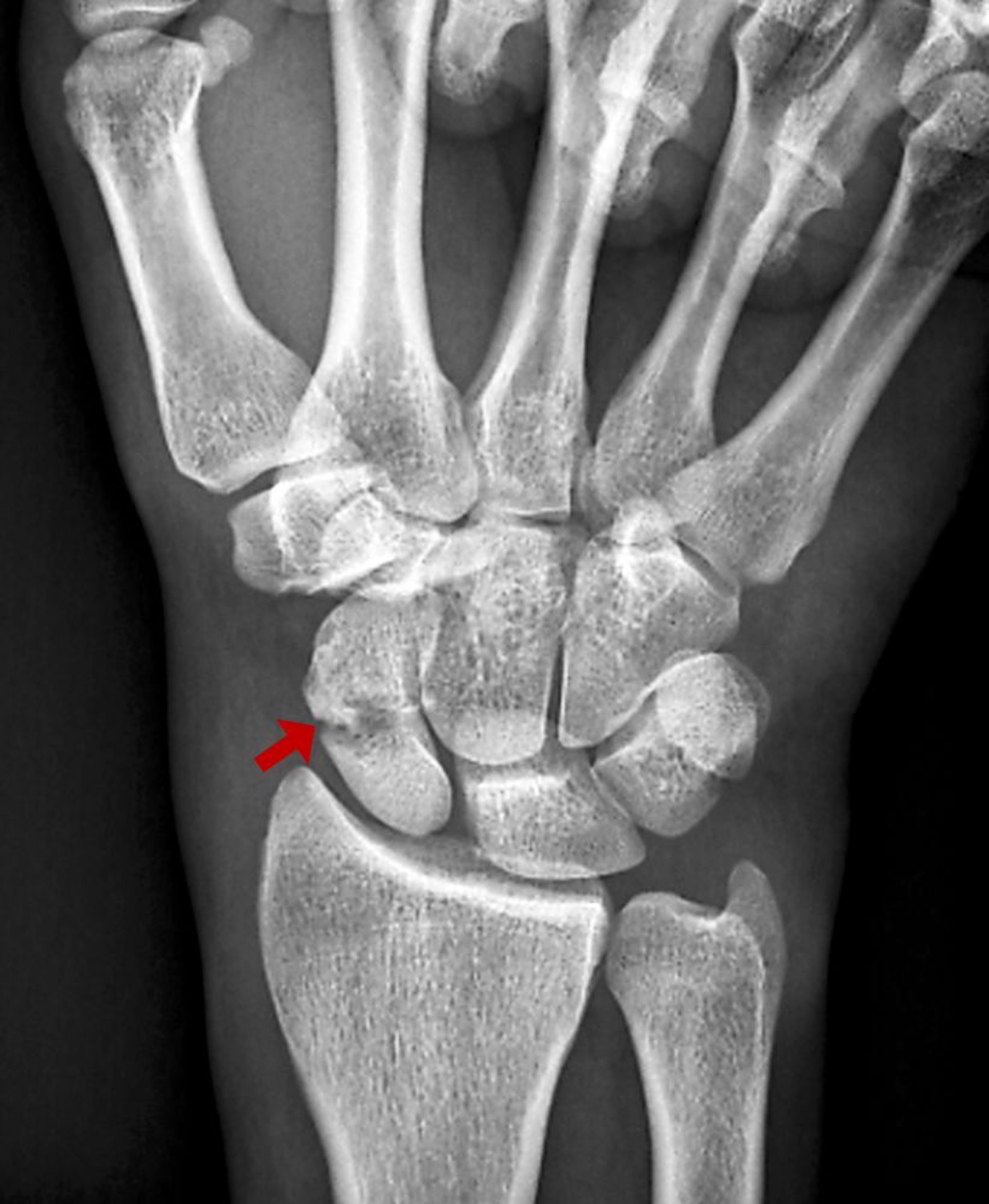
Esta fractura de escafoides es visible como una imagen radiolúcida en la radiografía simple.
ZEPHYR/SCIENCE PHOTO LIBRARY
En estos temas
Esta fractura de escafoides es visible como una imagen radiolúcida en la radiografía simple.
ZEPHYR/SCIENCE PHOTO LIBRARY