Fractura peroneal distal sutil (vista lateral)
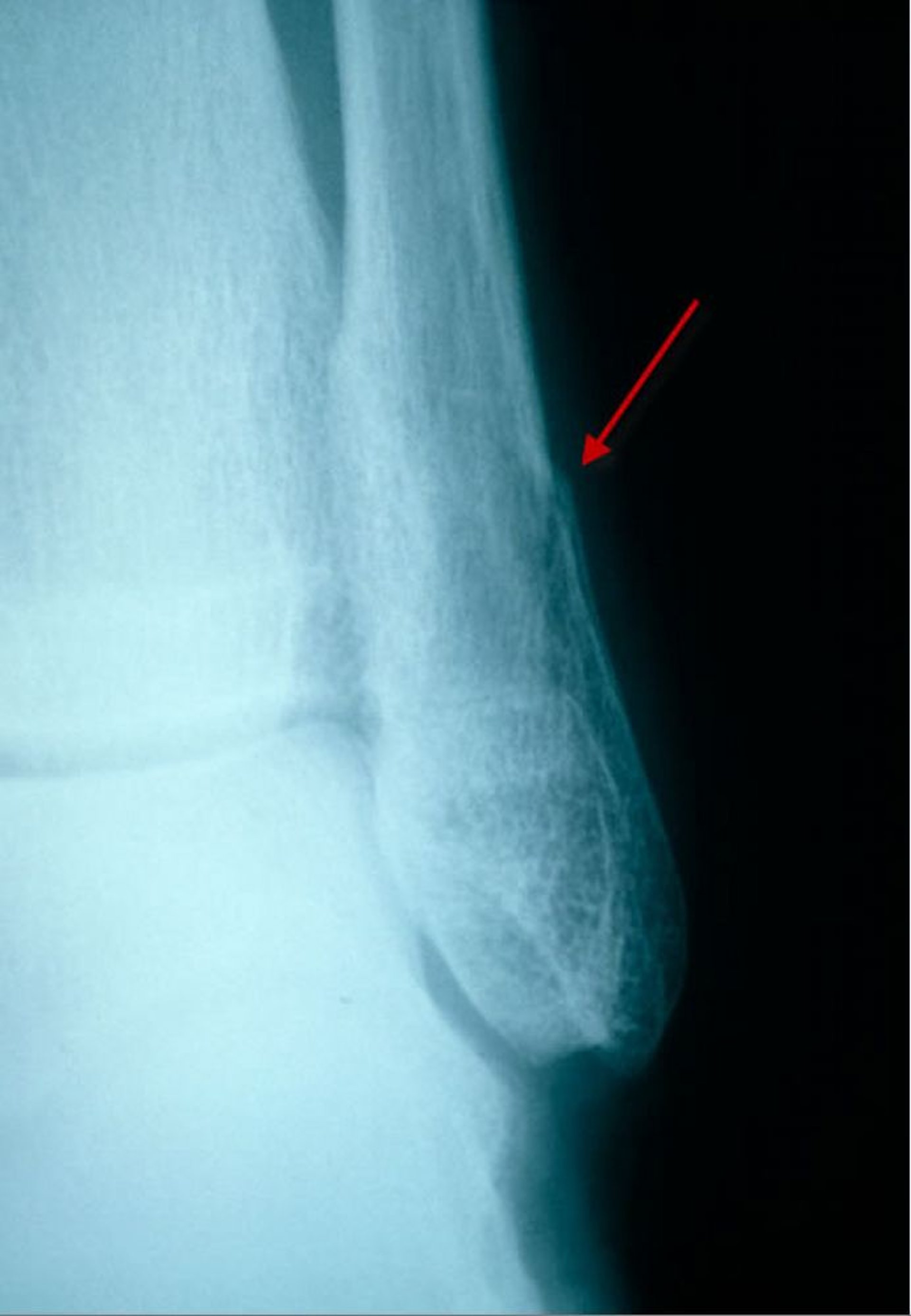
En esta vista lateral, una fractura del peroné distal se visualiza como una pequeña zona radiolúcida y una discontinuidad (salto) de la corteza.
DR P. MARAZZI/SCIENCE PHOTO LIBRARY
En estos temas
En esta vista lateral, una fractura del peroné distal se visualiza como una pequeña zona radiolúcida y una discontinuidad (salto) de la corteza.
DR P. MARAZZI/SCIENCE PHOTO LIBRARY