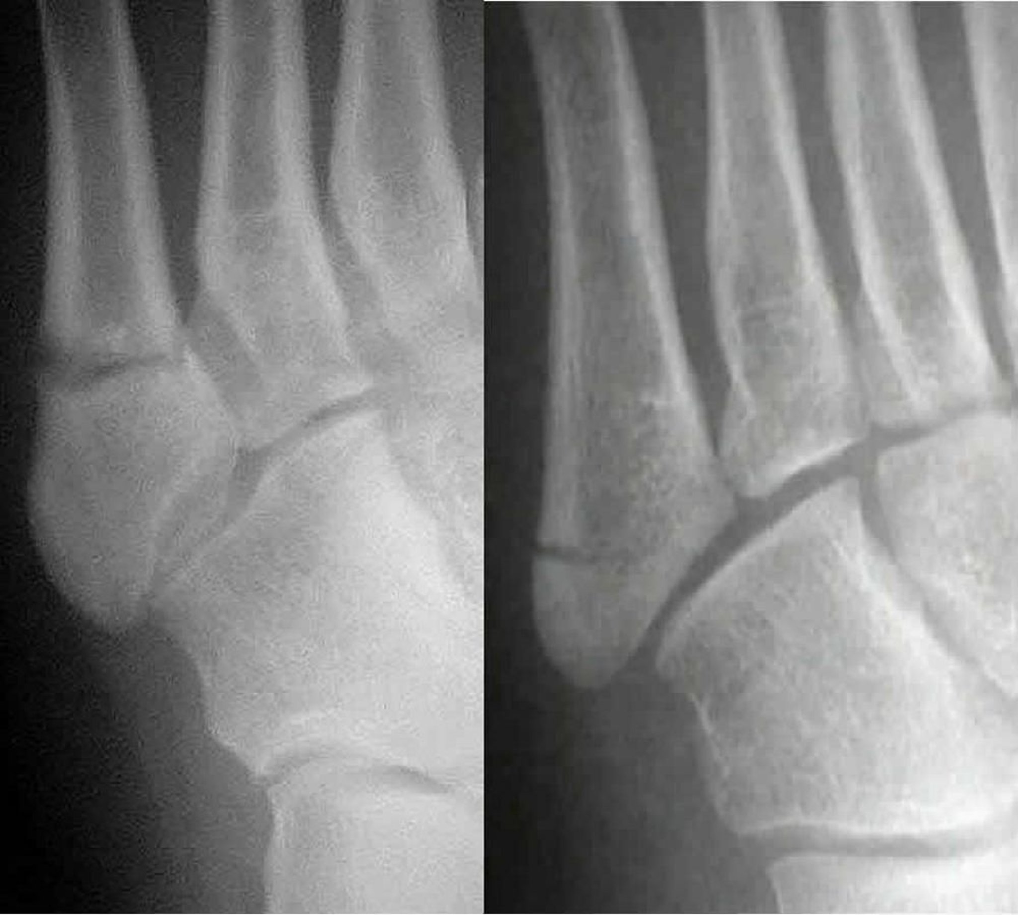
Fracturas de Jones comparadas con seudofracturas de Jones
Una fractura de Jones (izquierda) compromete el eje del quinto metatarsiano; una fractura de seudo-Jones (derecha) involucra la base del quinto metatarsiano. La distinción entre las dos es importante debido a que se tratan de modo diferente.
Images courtesy of Danielle Campagne, MD.
En estos temas
