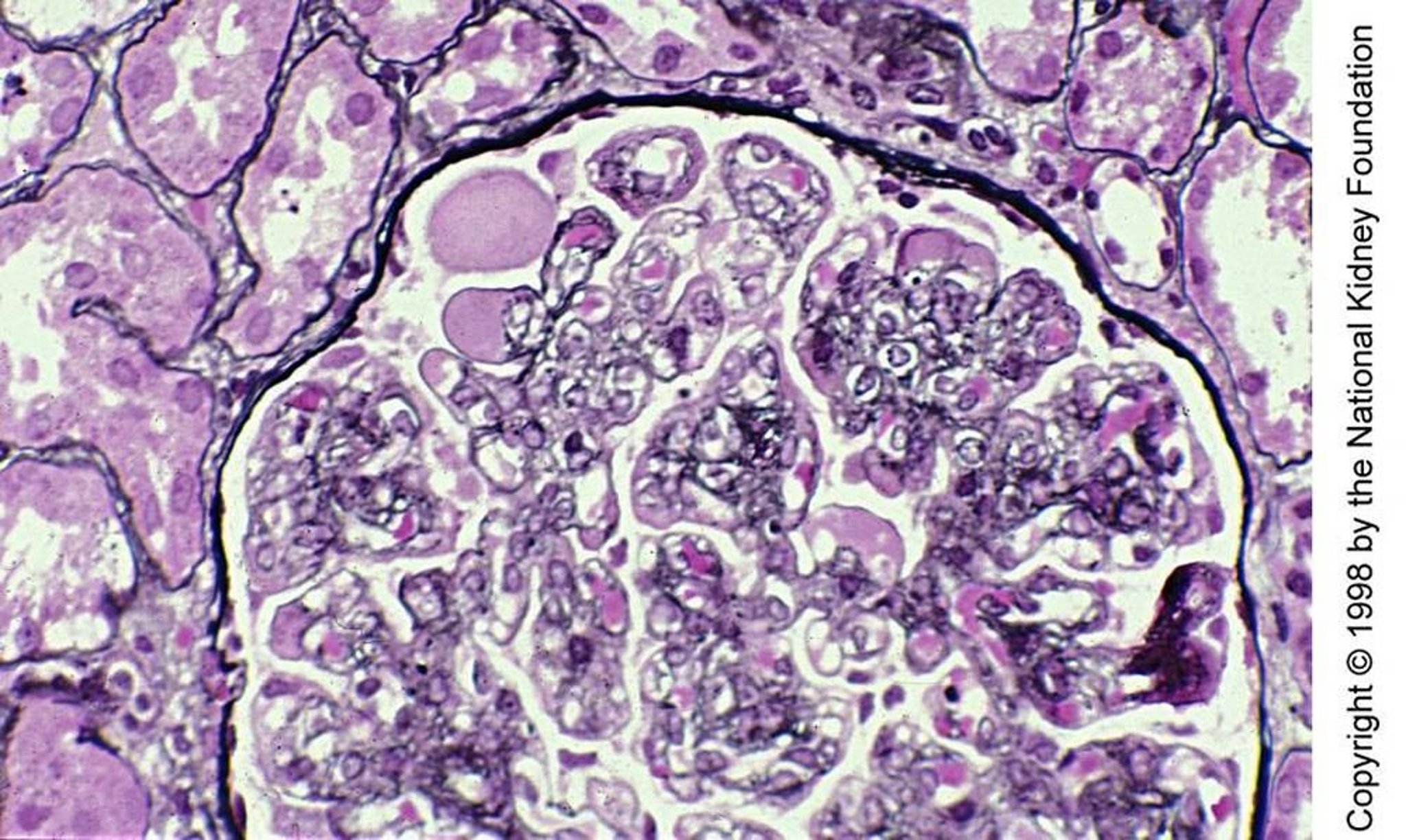
Glomerulonefritis membranoproliferativa, mediada por inmunoglobulina/inmunocomplejos
En la glomerulonefritis membranoproliferativa mediada por inmunoglobulinas/inmunocomplejos, el depósito crónico de complejos inmunes (predominantemente C3 e IgG o IgM) activa el complemento a través de la vía clásica dentro de las paredes capilares glomerulares y el mesangio. El resultado es la proliferación mesangial, el engrosamiento de la membrana basal glomerular (MBG), la interposición del citoplasma de las células mesangiales entre la MBG y las células endoteliales y la glomerulosclerosis que provoca insuficiencia renal. El engrosamiento de la MBG se manifiesta aquí por contornos dobles (tinción de plata de Jones, ×400).
Image provided by Agnes Fogo, MD, and the American Journal of Kidney Diseases' Atlas of Renal Pathology (véase www.ajkd.org).
