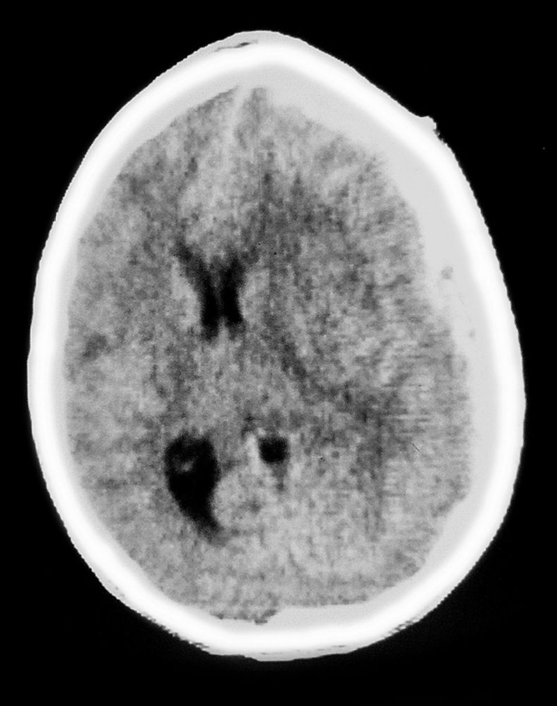
Hematoma subdural
Esta TC muestra una opacidad en forma de medialuna sobre el tejido encefálico, característica de un hematoma subdural. También puede ocurrir un efecto de masa, con compresión ventricular y desplazamiento de la línea media.
Cavallini James/BSIP/SCIENCE PHOTO LIBRARY
En estos temas
