Hemotórax
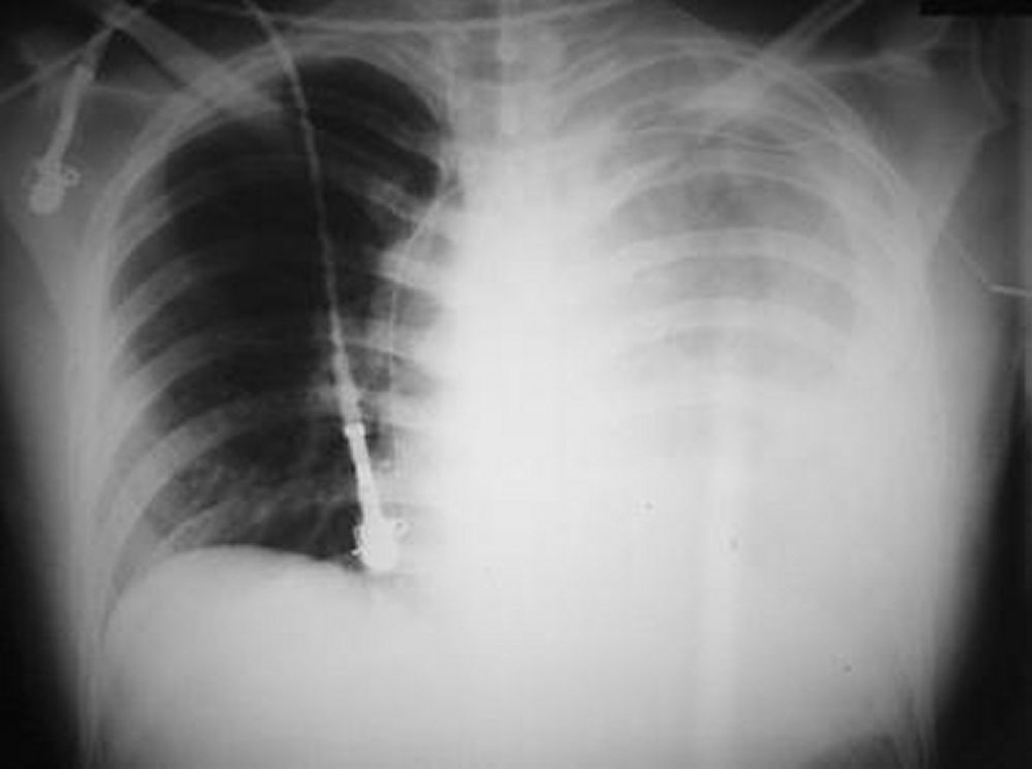
Esta fotografía muestra un hemotórax izquierdo masivo después de una herida de bala en el hemitórax izquierdo.
© Springer Science+Business Media
En estos temas
Esta fotografía muestra un hemotórax izquierdo masivo después de una herida de bala en el hemitórax izquierdo.
© Springer Science+Business Media