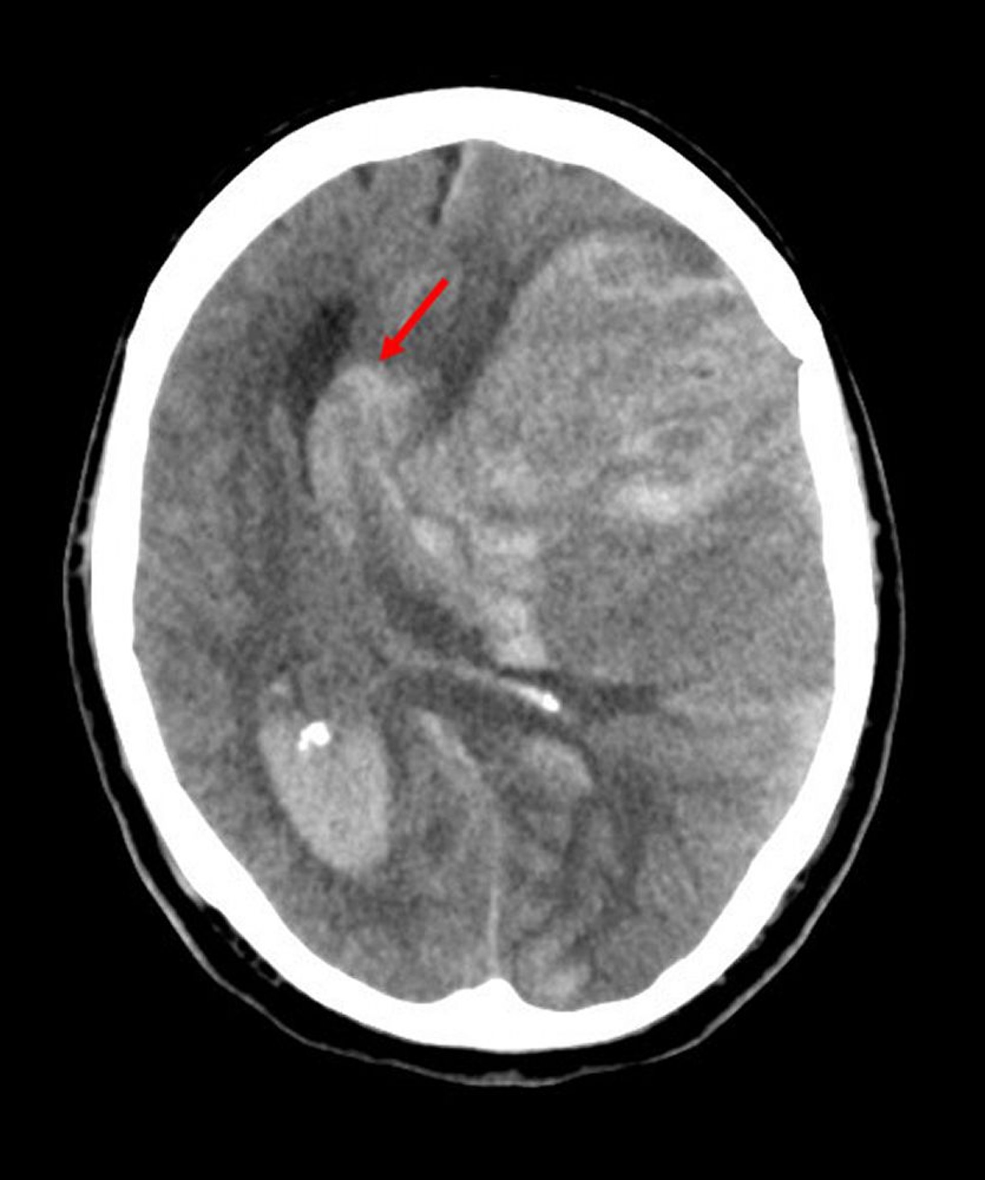
Herniación subfalcina
La herniación subfalcina es el tipo más común de hernia cerebral. En esta imagen, la mitad izquierda del encéfalo se ha herniado por debajo del borde libre de la hoz del cerebro (flecha) porque la hemorragia secundaria a un infarto en la arteria cerebral media aumentó la presión intracerebral.
© 2017 Elliot K. Fishman, MD.
