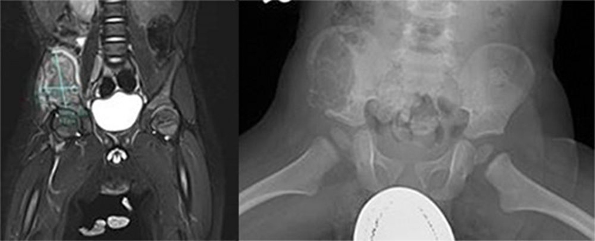
Histiocitosis de células de Langerhans (hueso pelviano)
Esta imagen muestra una gran lesión agresiva dentro del ala ilíaca derecha. Una RM reveló que la masa era heterogénea en T2 con baja señal T1y realce heterogéneo de la masa y la musculatura circundante con desviación medial del psoas derecho, lo que sugiere una lesión ósea agresiva (izquierda). En la radiografía (derecha), se observó una gran lesión lítica dentro del ala anterior y lateral del íleon que se extendía por delante y por debajo del isquion. Se observa la corteza expandida e irregularidades corticales. La biopsia fue diagnóstica para histiocitosis de células de Langerhans.
Images courtesy of Carolyn Fein Levy, MD, and Jeffrey M. Lipton, MD, PhD.
En estos temas
