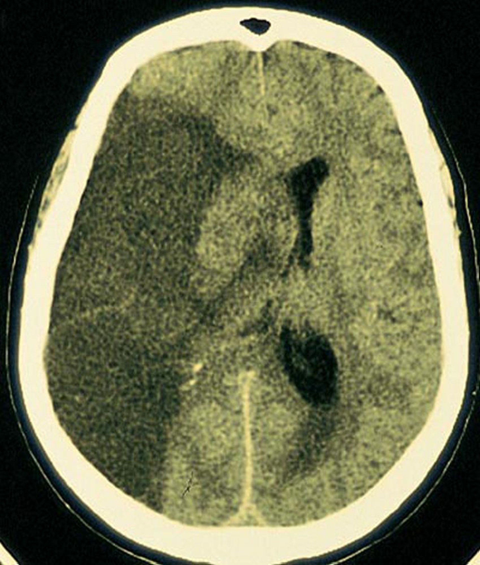
Infarto de la arteria cerebral media
Se observa un gran infarto radiolúcido en el área del encéfalo irrigada por la arteria cerebral media derecha.
By permission of the publisher. From Furie K, et al: Cerebrovascular disease. In Atlas of Clinical Neurology. Edited by RN Rosenberg. Philadelphia, Current Medicine, 2002.
En estos temas
