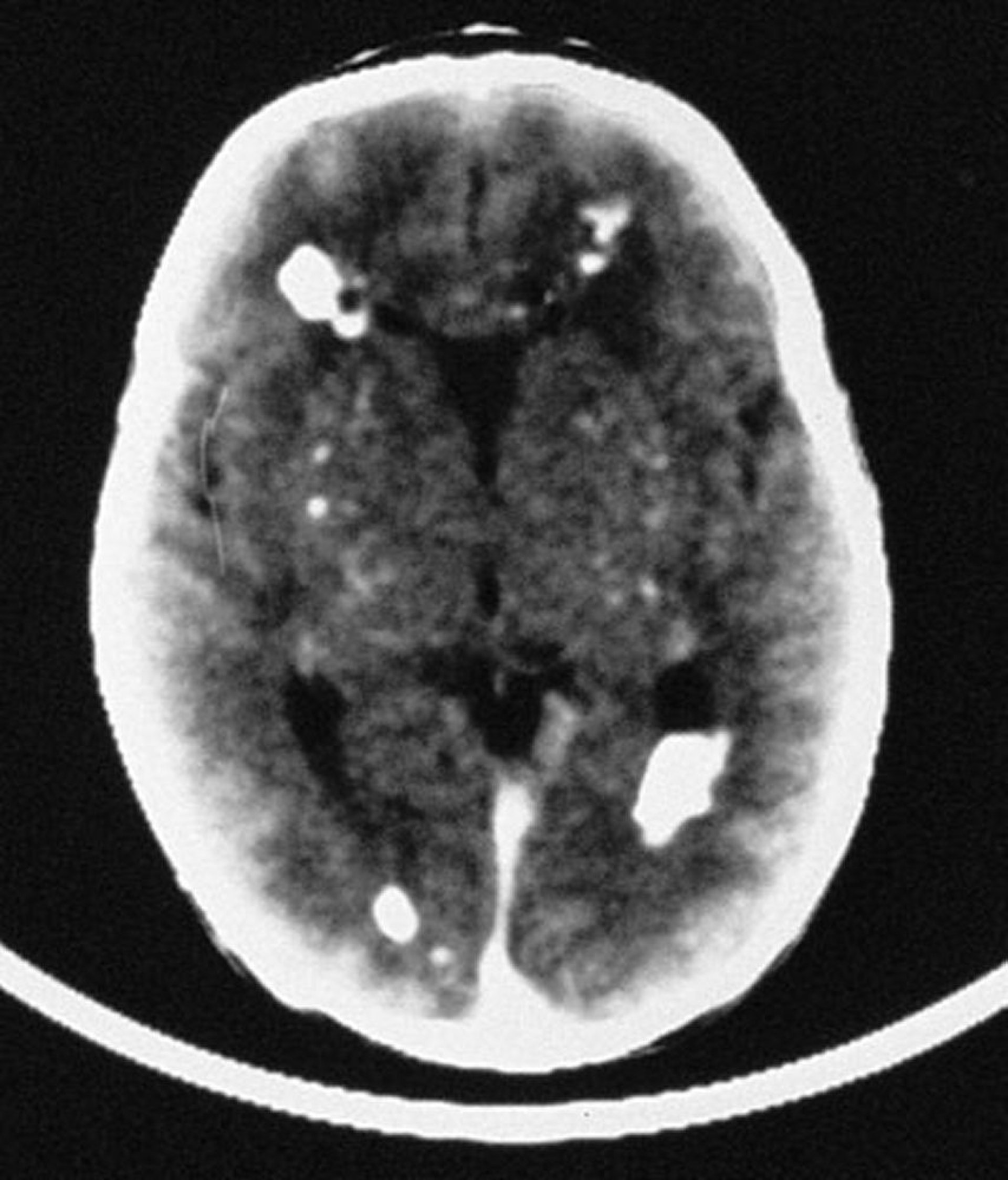
Infección congénita por citomegalovirus
En esta imagen, la tomografía computarizada revela múltiples calcificaciones intracraneales; la mayoría son periventriculares, aunque también comprometen las estructuras vasculares del cerebro.
By permission of the publisher. From Demmler G: Congenital and perinatal infections. In Atlas of Infectious Diseases: Pediatric Infectious Diseases. Edited by CM Wilfert. Philadelphia, Current Medicine, 1998.
