Leucoencefalopatía multifocal progresiva
Esta imagen de RM ponderada en T2 muestra múltiples cambios en la sustancia blanca.
Imagen proporcionada por John E. Greenlee, MD.
En estos temas
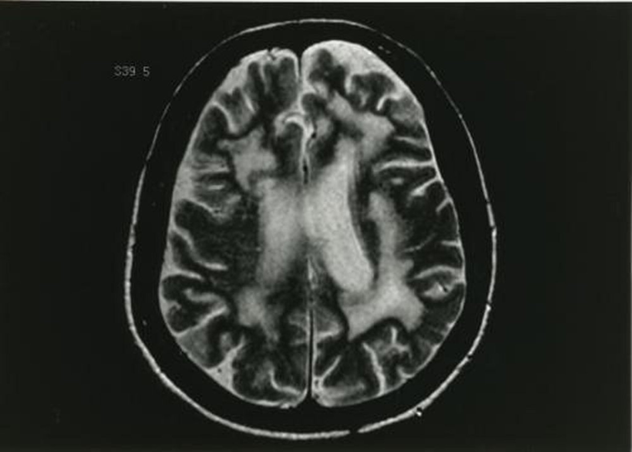
Esta imagen de RM ponderada en T2 muestra múltiples cambios en la sustancia blanca.
Imagen proporcionada por John E. Greenlee, MD.