Linfoma de hueso
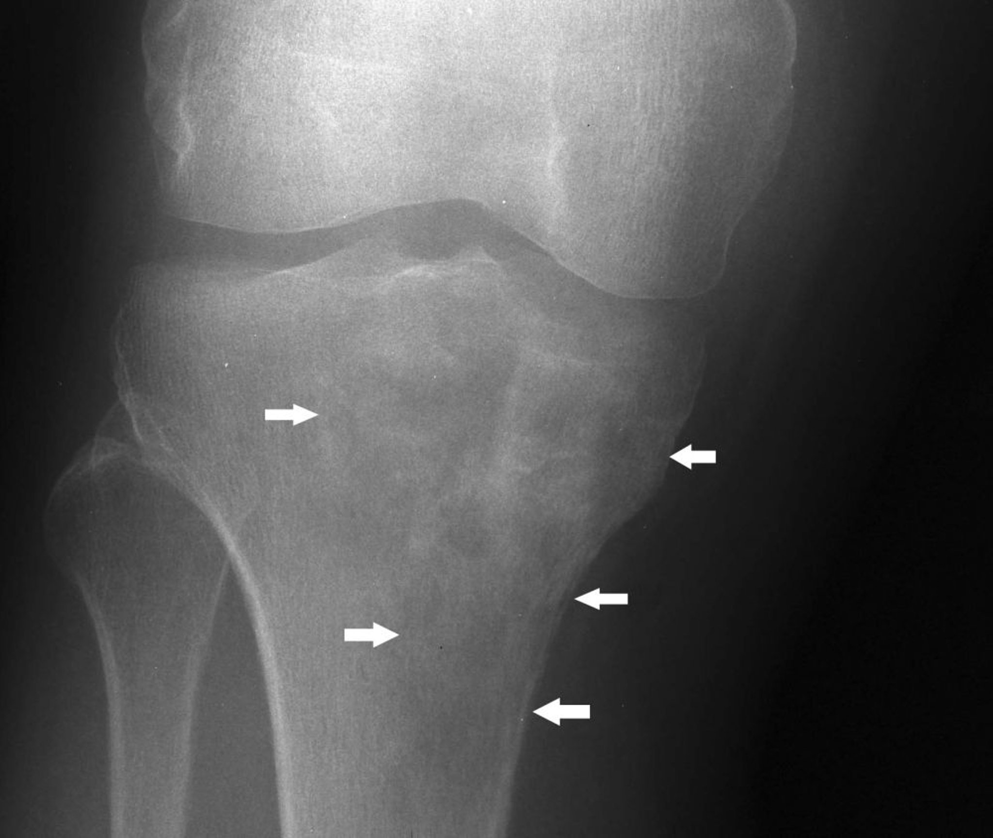
Esta radiografía de rodilla muestra un linfoma en la tibia proximal con una apariencia mixta lítica y esclerótica debajo del cóndilo tibial medial (flechas).
Image courtesy of Michael J. Joyce, MD, and Hakan Ilaslan, MD.
En estos temas
