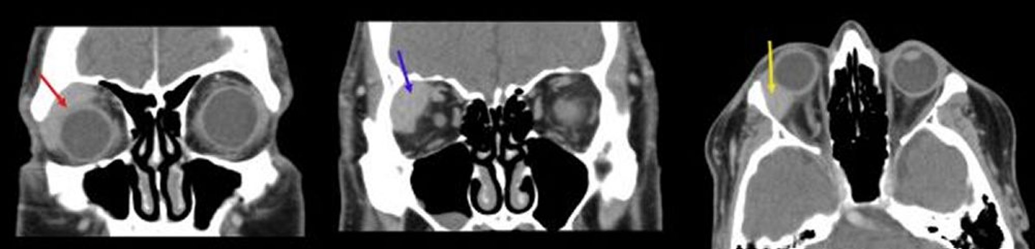
Linfoma orbitario
En esta imagen, la primera TC coronal (izquierda) muestra una masa homogénea que se ajusta al globo (flecha roja). La segunda TC coronal (centro) muestra una masa bien delimitada en la fosa de la glándula lagrimal derecha (flecha azul). La TC axial (derecha) muestra una masa homogénea en la fosa lagrimal co la forma del globo ocular derecho (flecha amarilla).
Images courtesy of James Garrity, MD.
En estos temas
