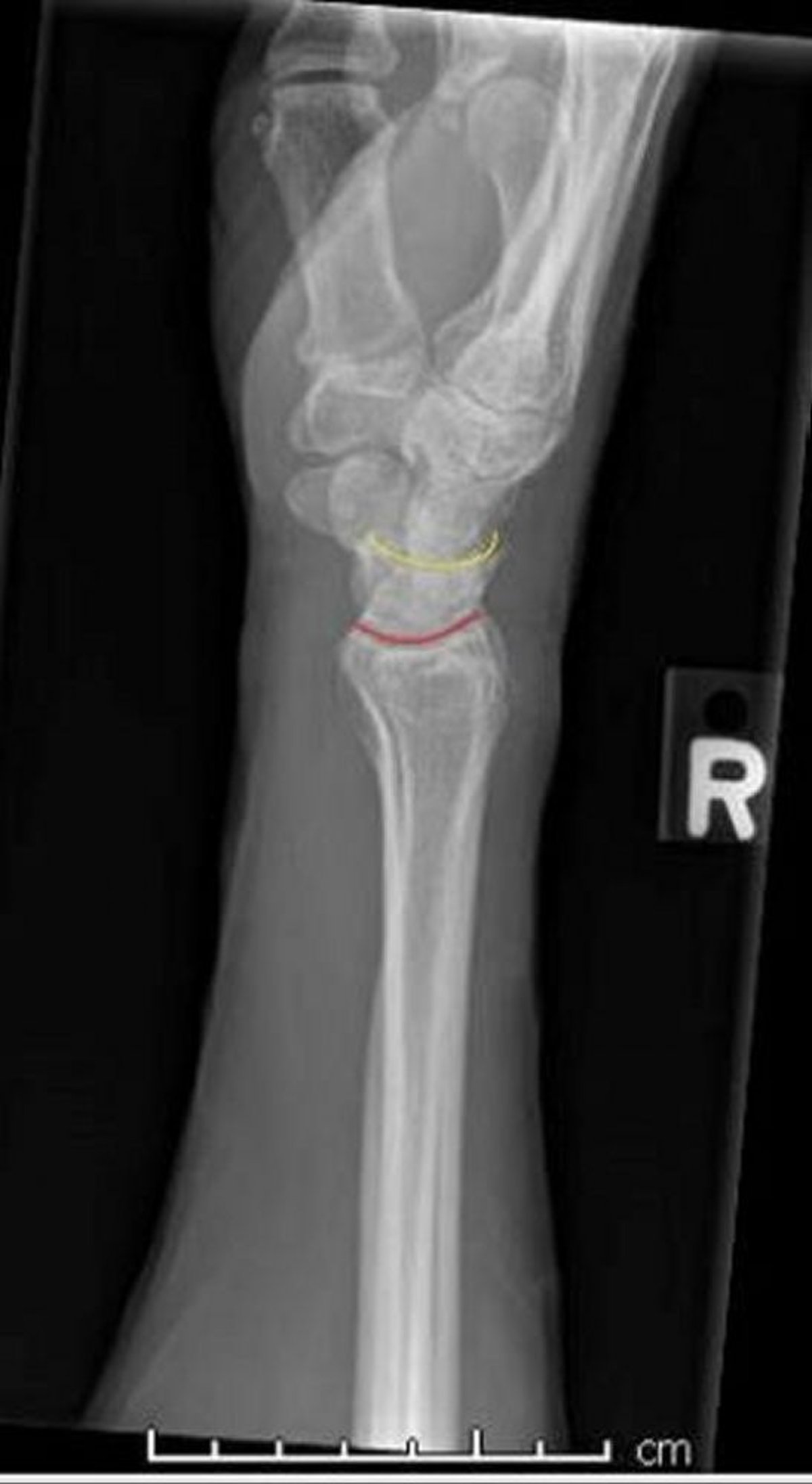
Muñeca normal: proyección lateral
Esta proyección lateral de una muñeca normal muestra la superficie de contacto normal entre el radio y el semilunar (línea roja), y entre el semilunar y el hueso grande (línea amarilla).
Image courtesy of Danielle Campagne, MD.
En estos temas
