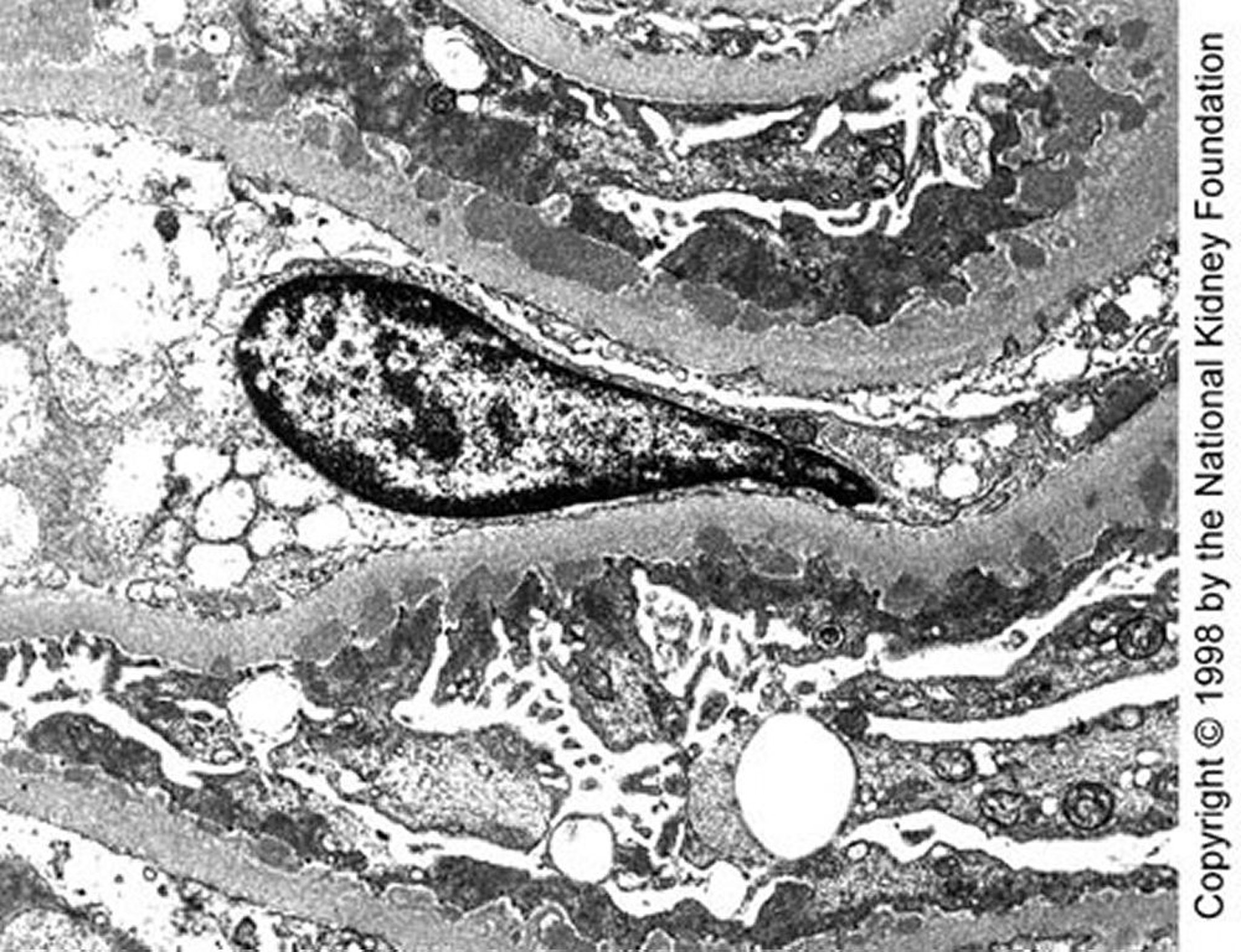
Nefropatía membranosa (depósitos densos)
En la enfermedad en estadio I avanzado se observan depósitos densos subepiteliales de tamaño mediano en la microscopia electrónica de transmisión (×10.200).
Image provided by Agnes Fogo, MD, and the American Journal of Kidney Diseases' Atlas of Renal Pathology (véase www.ajkd.org).
En estos temas
