Neumonía organizada criptogénica
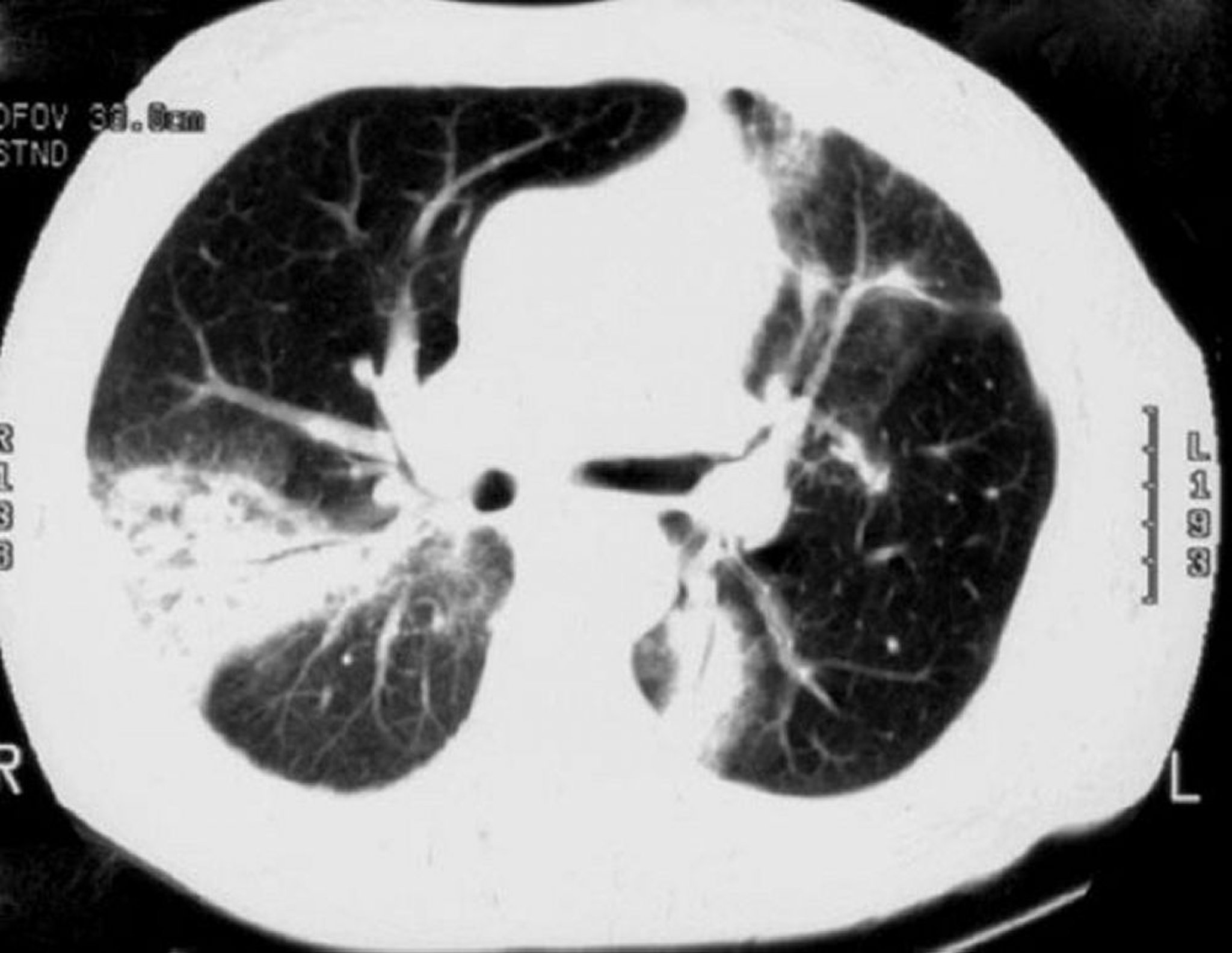
La tomografía computarizada de alta resolución muestra consolidación en parches de espacios aéreos, opacidades en vidrio esmerilado, opacidades nodulares pequeñas y engrosamiento de la pared bronquial con dilatación de la luz (broncograma aéreo).
Image courtesy of Talmadge E. King, MD.
En estos temas
