Osteoma osteoide
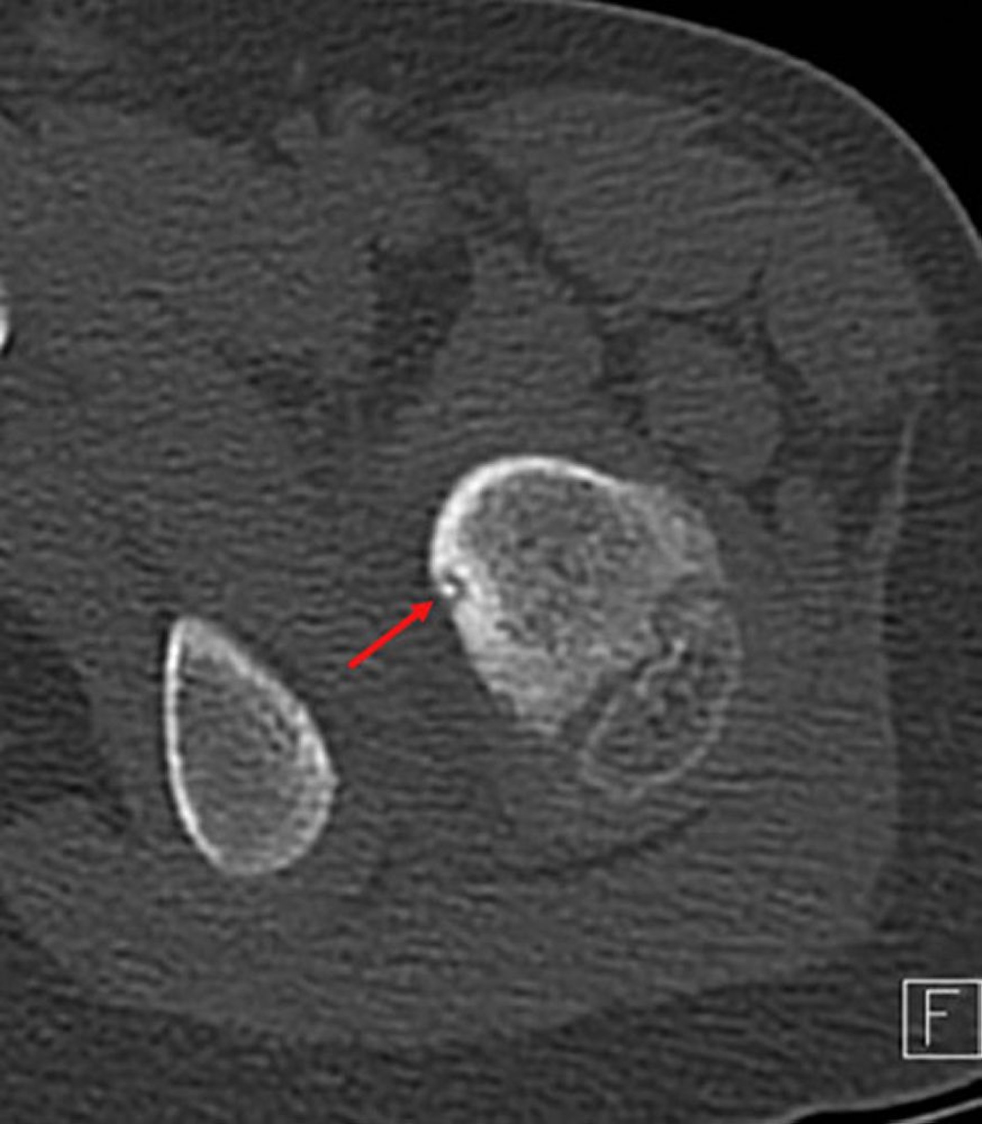
Imagen axial de TC del fémur proximal (el hueso adyacente es la rama pelviana) que muestra el nido radiolúcido típico con calcificación central (flecha) y el borde reactivo circundante en un niño con dolor en la cadera izquierda.
Image courtesy of Michael J. Joyce, MD, and Hakan Ilaslan, MD.
En estos temas
