Osteosarcoma
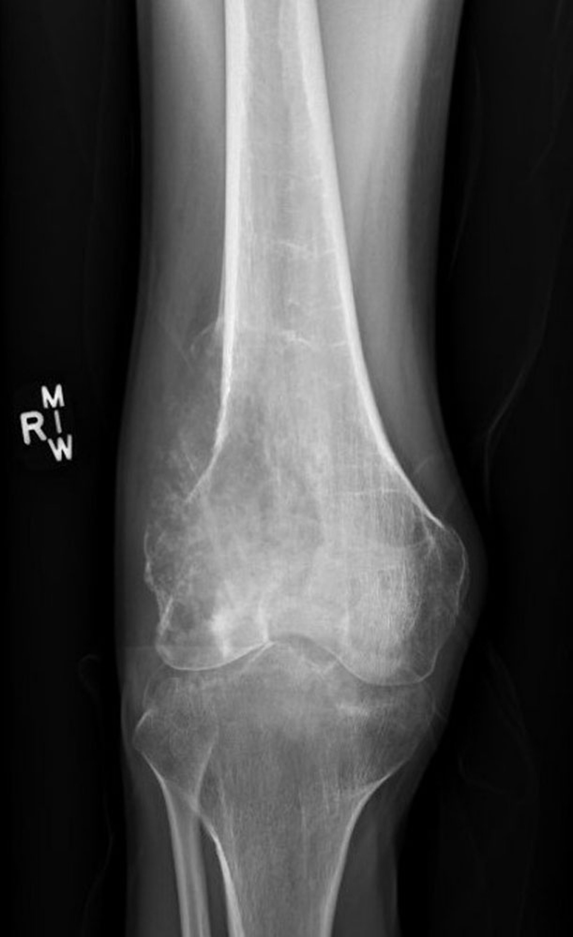
Esta radiografía de la rodilla muestra un osteosarcoma destructivo en el fémur por encima de la rodilla con apariencia lítica destructiva y el clásico triángulo de Codman que demuestra elevación perióstica patológica.
Image courtesy of Lukas Nystrom, MD.
En estos temas
