Otitis media aguda
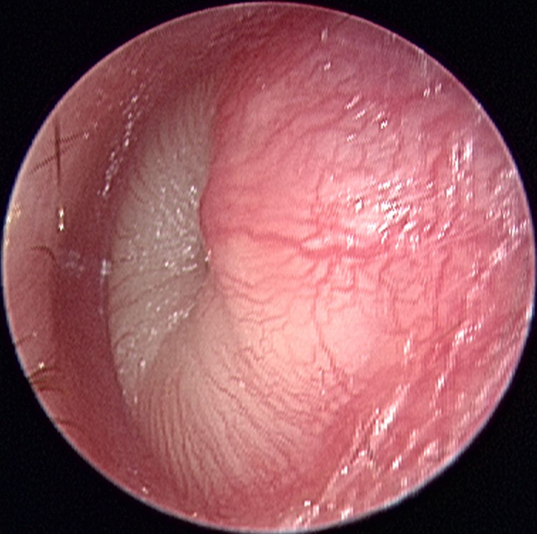
En la otitis media aguda (imagen inferior), la membrana timpánica izquierda está abultada y eritematosa y revela un borramiento de los puntos de reparo, oscurecidos debido a la abultada membrana timpánica.
© Springer Science+Business Media
En estos temas
