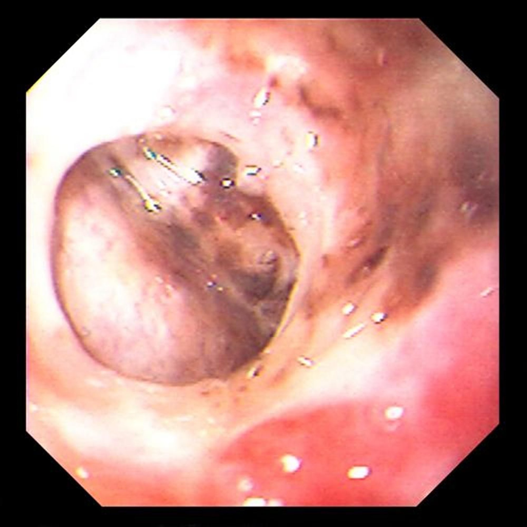
Perforación de úlcera gástrica
Esta imagen muestra una perforación crónica, confinada, de la úlcera gástrica a través de la cual el hígado es visible.
Image provided by David M. Martin, MD.
En estos temas
Esta imagen muestra una perforación crónica, confinada, de la úlcera gástrica a través de la cual el hígado es visible.
Image provided by David M. Martin, MD.