Periodontitis (pérdida de los tejidos de sostén del diente)
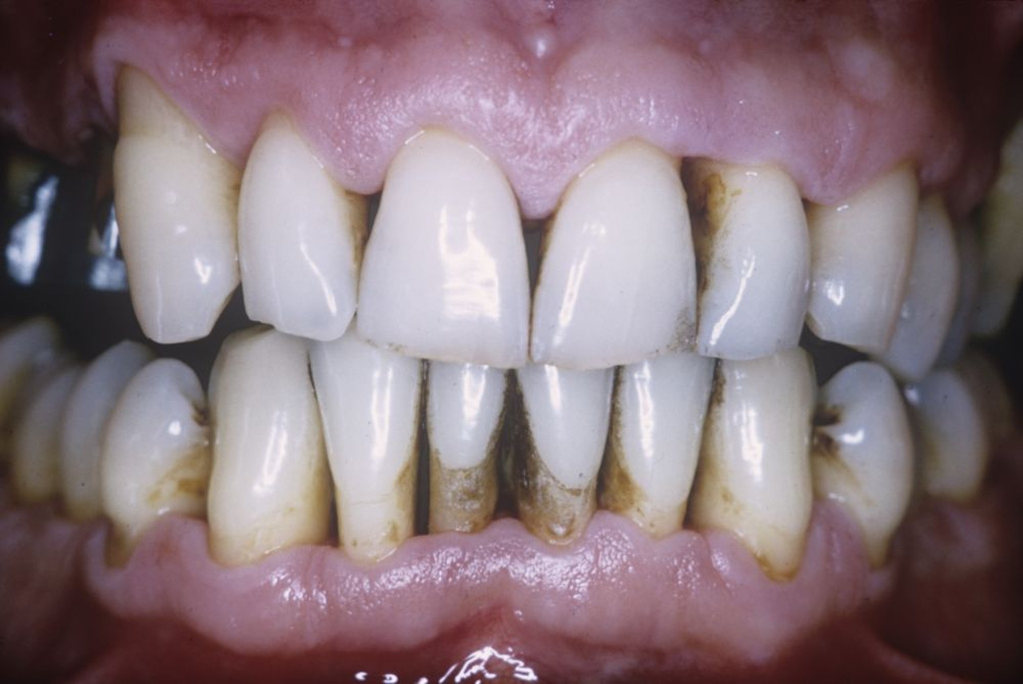
Esta fotografía muestra un primer plano de la pérdida de tejido en una persona con enfermedad periodontal. La enfermedad periodontal ha causado la pérdida de tejido gingival y hueso alrededor de los dientes.
Dr. W. GREEN/CNRI/SCIENCE PHOTO LIBRARY
En estos temas
