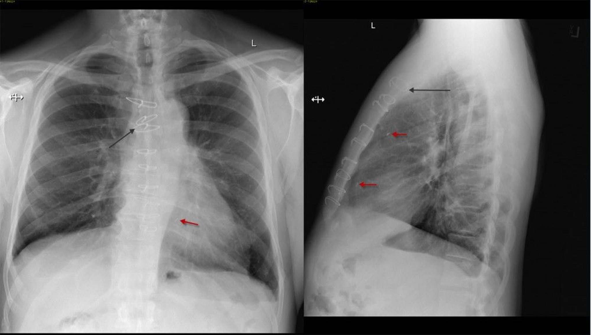
Radiografía de tórax de un paciente después de una cirugía de derivación de la arteria coronaria
Radiografía de tórax frontal y lateral de un paciente después de una cirugía de derivación de la arteria coronaria que muestra suturas esternales (flecha negra) y clips quirúrgicos (flecha roja).
© 2017 Elliot K. Fishman, MD.
