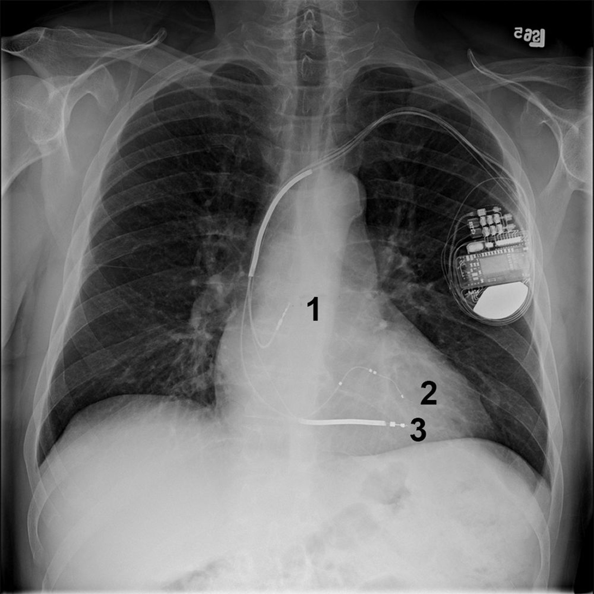
Radiografía torácica de un paciente con un desfibrilador cardioversor implantable (DCI) biventricular (bi-V)
Este paciente tiene un cardiodesfibrilador implantable biV en la parte superior izquierda del tórax con derivaciones en la aurícula derecha (1), el ventrículo izquierdo (2) y el ventrículo derecho (3).
© 2017 Elliot K. Fishman, MD.
En estos temas
