Retinopatía diabética (no proliferativa)
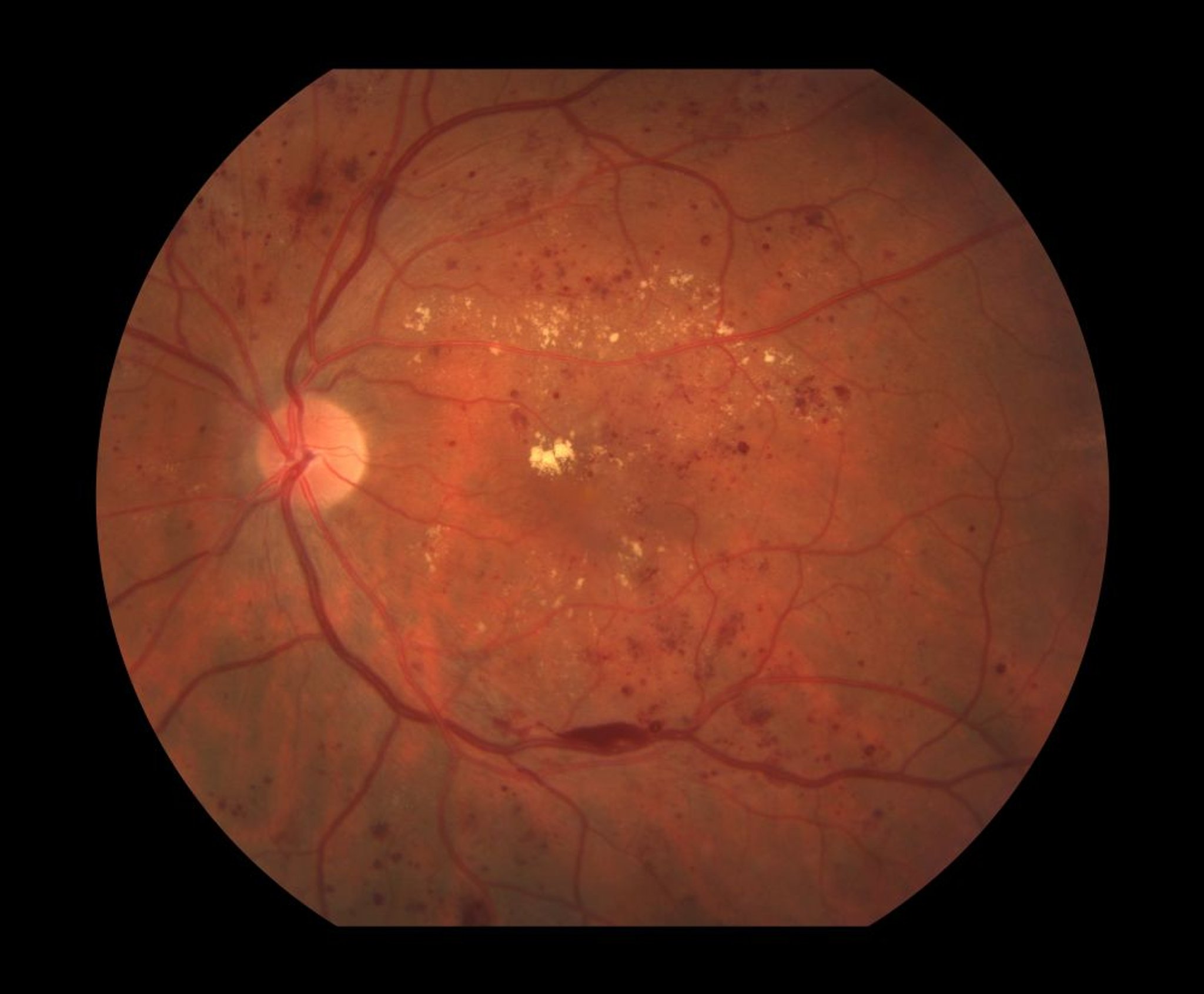
Las características en fondo de ojo de la retinopatía diabética no proliferativa incluyen hemorragias retinianas y exudados duros (placas amarillas).
Paul Whitten/SCIENCE PHOTO LIBRARY
En estos temas
Las características en fondo de ojo de la retinopatía diabética no proliferativa incluyen hemorragias retinianas y exudados duros (placas amarillas).
Paul Whitten/SCIENCE PHOTO LIBRARY