RM ponderada en T1
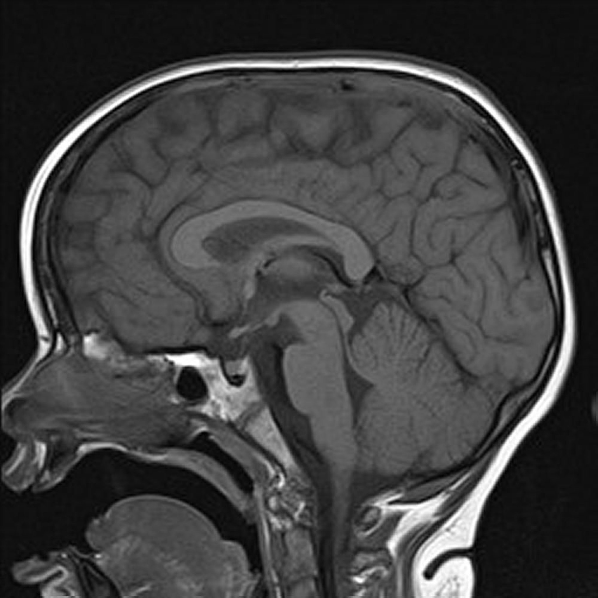
La imagen sagital ponderada en T1 del cerebro muestra estructuras normales de la línea media.
Image courtesy of Hakan Ilaslan, MD.
En estos temas
La imagen sagital ponderada en T1 del cerebro muestra estructuras normales de la línea media.
Image courtesy of Hakan Ilaslan, MD.