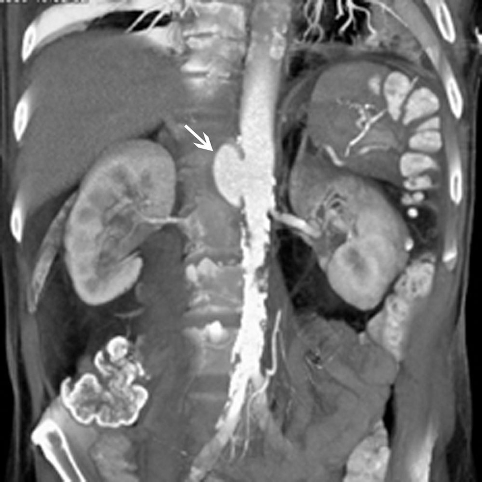
Seudoaneurisma aórtico abdominal (TC)
La flecha blanca muestra un seudoaneurisma aórtico abdominal suprarrenal. También hay una extensa placa en la aorta infrarrenal y las arterias ilíacas.
© 2017 Elliot K. Fishman, MD.
En estos temas
La flecha blanca muestra un seudoaneurisma aórtico abdominal suprarrenal. También hay una extensa placa en la aorta infrarrenal y las arterias ilíacas.
© 2017 Elliot K. Fishman, MD.