honeypot link
skip to main content
MerckManual MerckVersión para profesionales
TEMAS MÉDICOSRECURSOSCOMENTARIOPROCEDIMIENTOS Y EXÁMENESCUESTIONARIOSACERCA DE
homeTEMAS MÉDICOSRECURSOS
Search icon
  1. <Imágenes
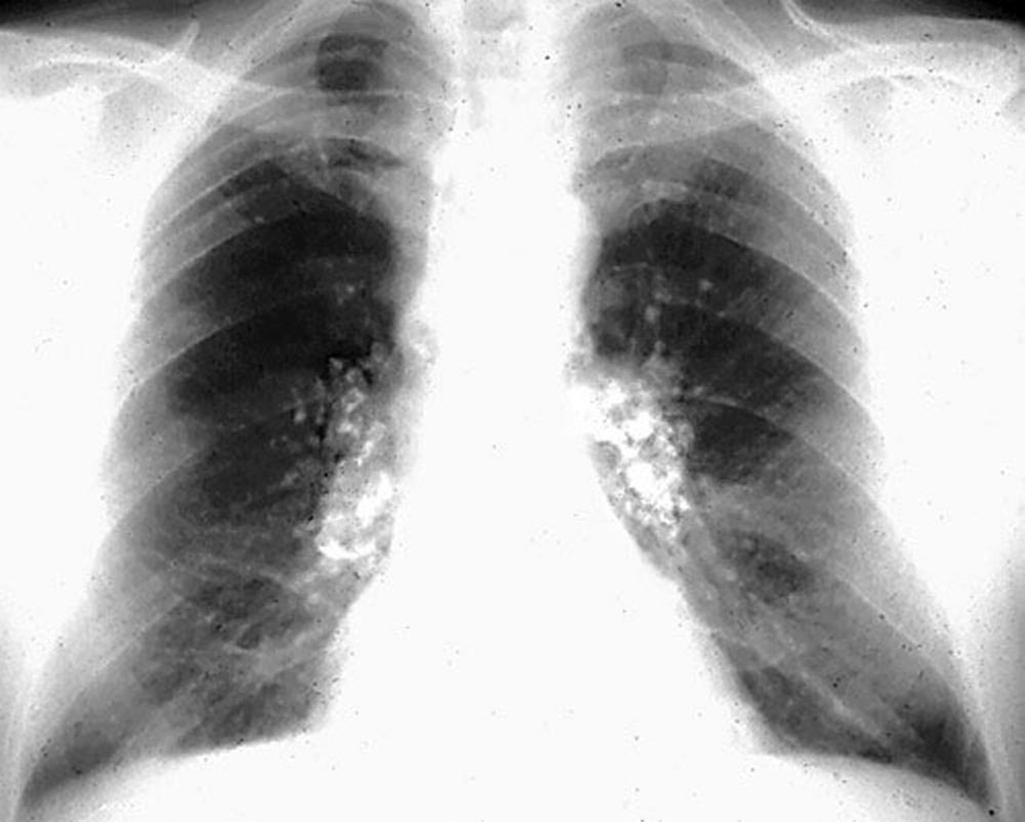
    Silicosis: calcificaciones en cáscara de huevo

    Silicosis: calcificaciones en cáscara de huevo

    Image courtesy of David W. Cugell, MD.

    En estos temas
    • Silicosis >
    Merck
    • Acerca de
    • Descargo de responsabilidad
    • Permisos
    • Aviso de privacidad
    • Cookie Preferences
    • Términos y condiciones de uso
    • Licencias & Comerciales
    • Comuníquese con nosotros
    • Manual de veterinaria (inglés solamente)
    • Aplicaciones móviles
    This icon serves as a link to download the eSSENTIAL Accessibility assistive technology app for individuals with physical disabilities. It is featured as part of our commitment to diversity and inclusion.
    This icon serves as a link to download the eSSENTIAL Accessibility assistive technology app for individuals with physical disabilities. It is featured as part of our commitment to diversity and inclusion.
    Merck

    Copyright© 2026Merck & Co., Inc., Rahway, NJ, USA y sus empresas asociadas. Todos los derechos reservados.