Sinusitis
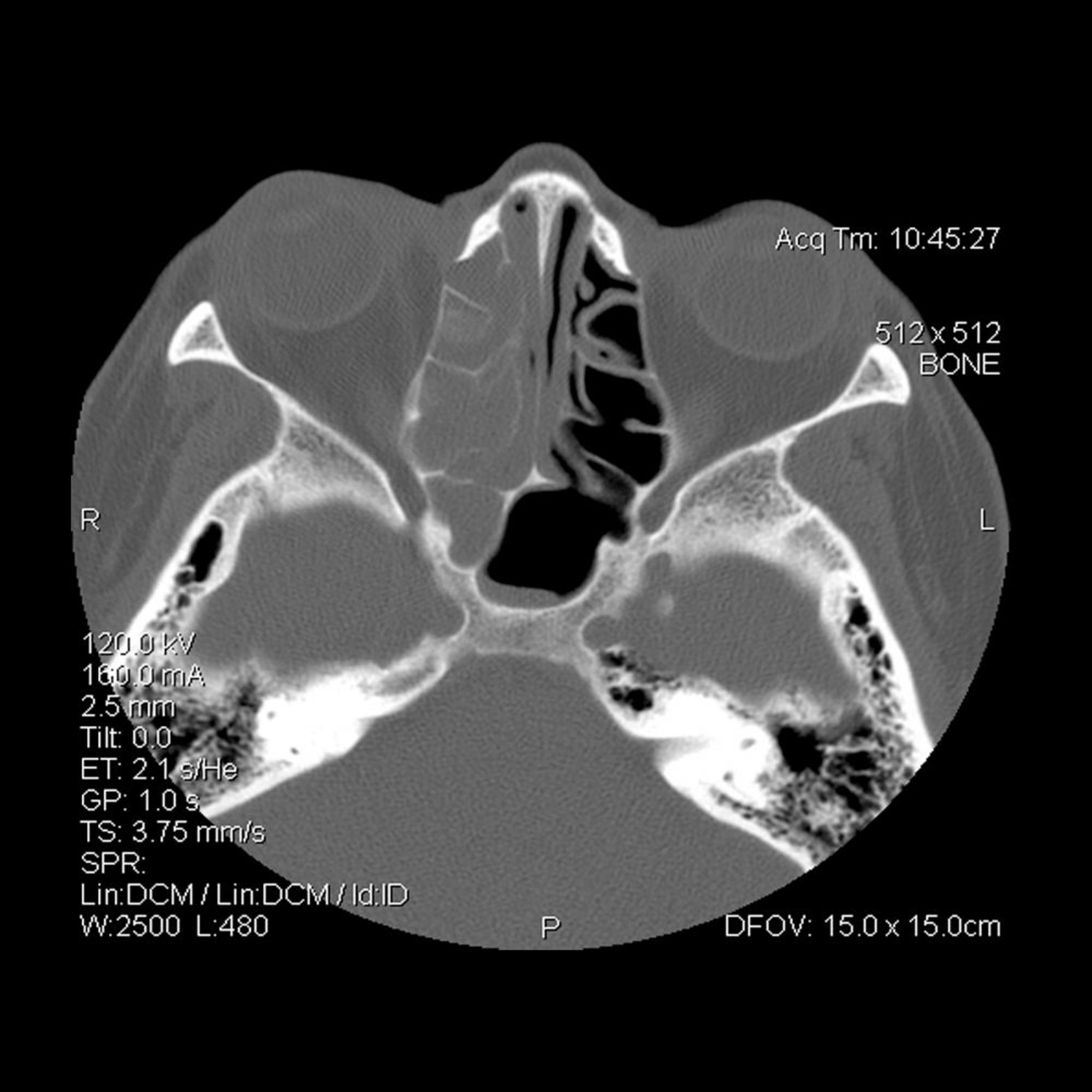
Opacificación de los senos etmoidales y esfenoidales derechos (a la izquierda del lector).
LIVING ART ENTERPRISES, LLC/SCIENCE PHOTO LIBRARY
En estos temas
Opacificación de los senos etmoidales y esfenoidales derechos (a la izquierda del lector).
LIVING ART ENTERPRISES, LLC/SCIENCE PHOTO LIBRARY